Adenomyomatose
Kasuistik
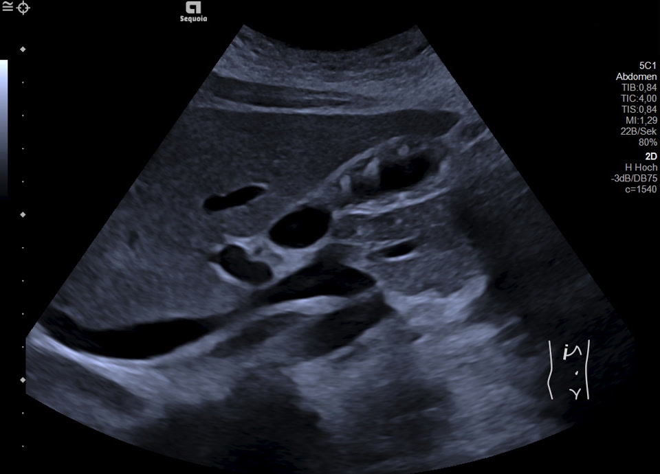
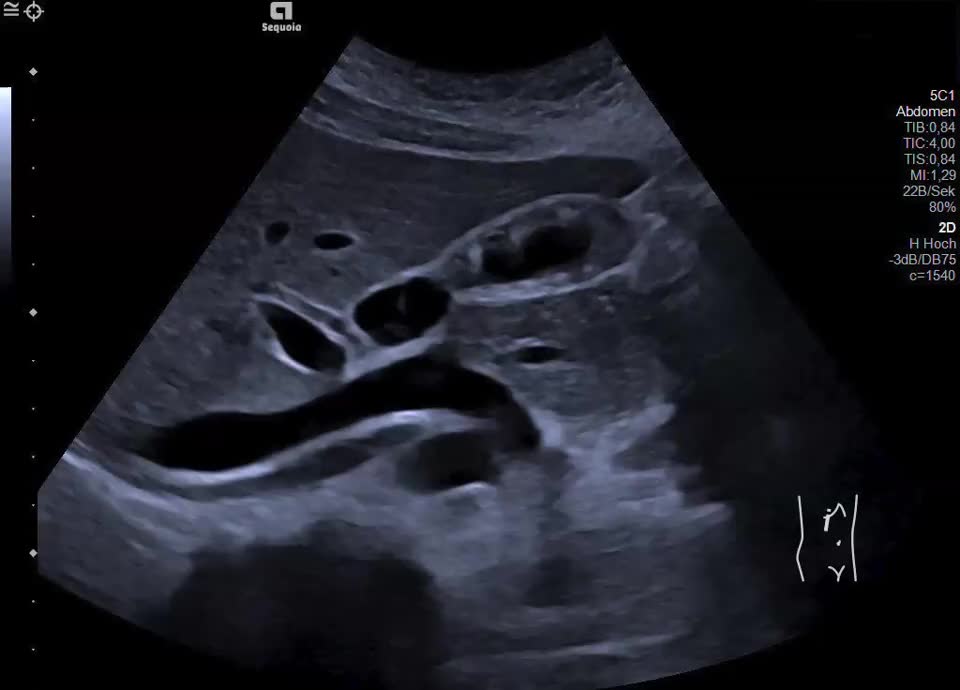
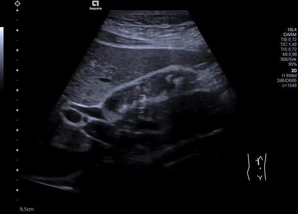
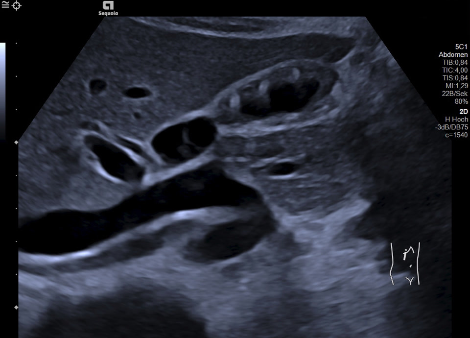
16-jährige Patientin berichtet seit mehreren Monaten über rezidivierende Durchfälle und Bauchschmerzen im Bereich der rechten Colonflexur, zuletzt etwa alle 14 Tage. Vor zwei Monaten wurde sie nach einer besonders starken Episode in die Klinik überwiesen; Labor unauffällig. Zum Zeitpunkt der letzten Untersuchung beschwerdefrei. Sonographisch zeigt sich eine Wandverdickung der Gallenblase mit inhomogener Schichtung bei erhaltener, glatter Innen- und Außenkontur. Betroffen sind vor allem Fundus und Corpus, das Infundibulum erscheint unauffällig. In den verdickten Wandabschnitten finden sich hyperechogene Einzelechos mit Reverberationsartefakten (Kometenschweifartefakte). Zusätzlich zeigen sich in der Hochfrequenzsonografie (Video) echofreie, kleinzystische Areale in der Wand, die den erweiterten Rokitansky-Aschoff Sinus entsprechen. Charakteristischer Befund einer segmentalen Gallenblasenadenomyomatose.





