Von-Meyenburg-Komplexe
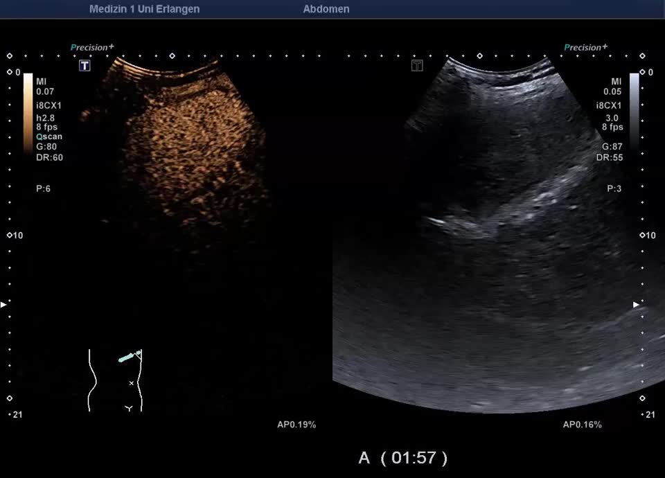
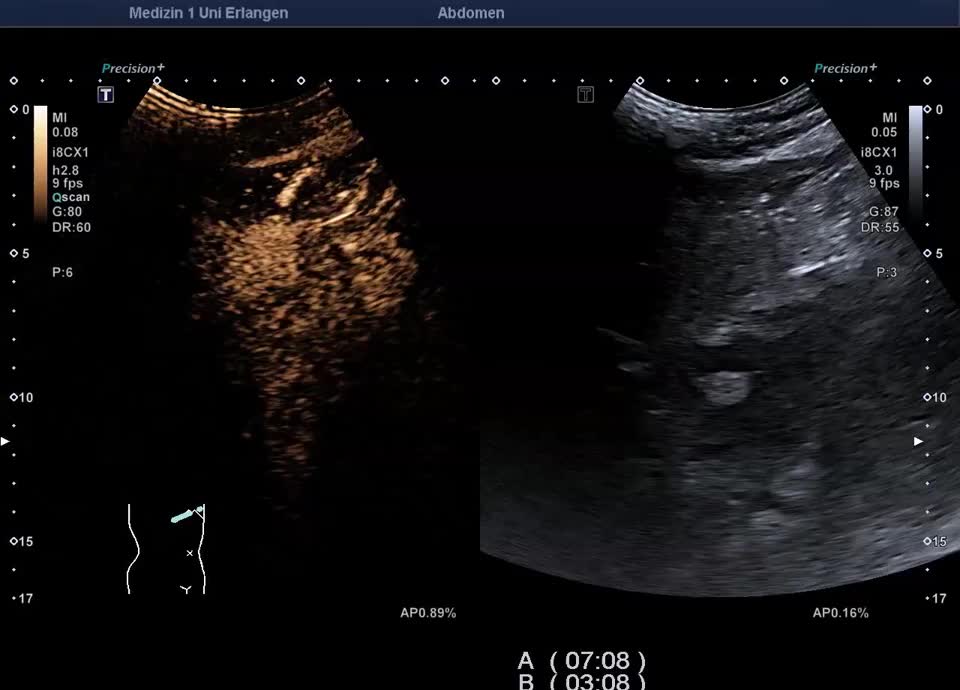
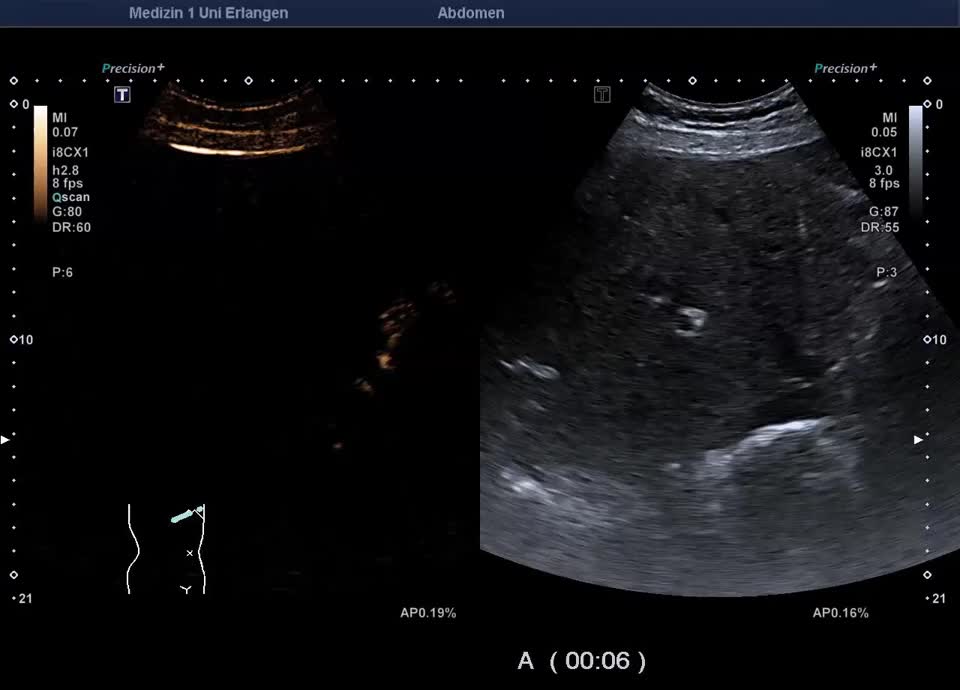
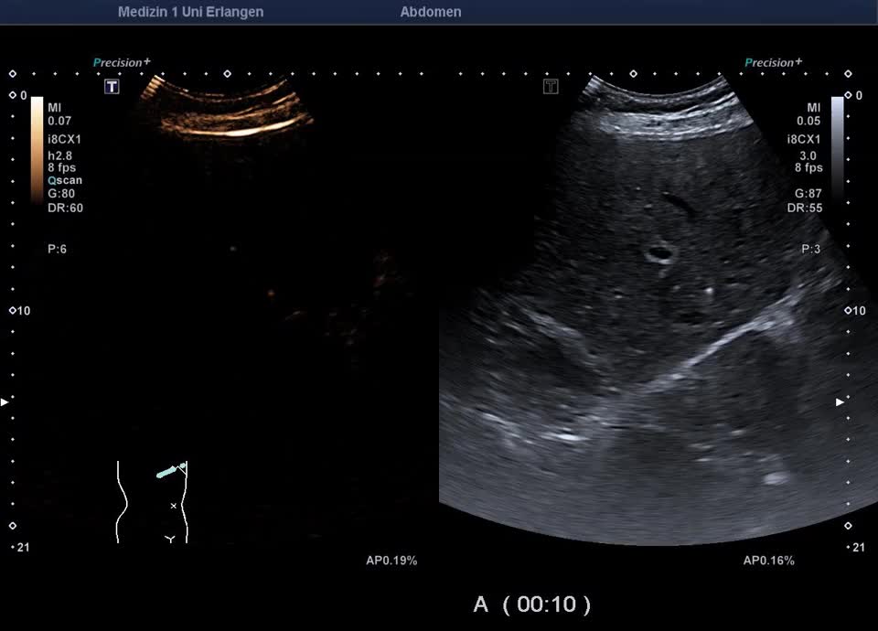
Kasuistik: 66-jähriger Patient mit seit der Jugend bekannter γ-GT-Erhöhung, sonographische Vorstellung zum Ausschluss eines cholangiozellulären Karzinoms. Sonographisch zeigt sich im B-Bild ein inhomogenes Leberparenchym mit diffus verteilten kleinen Kometenschweifartefakten im rechten Leberlappen. Das sonographische Bild ist vereinbar mit multiplen biliären Hamartomen (Von-Meyenburg Komplexe). Sie bestehen aus Zysten, die mit Gallengangsepithel ausgekleidet sind, und Bindegewebe, treten einzeln oder multipel auf und weisen typischerweise eine Größe von etwa 0,5–15 mm auf. Sonographisch stellen sie sich als echoreiche Noduli dar. Zum Ausschluss malignitätsverdächtiger Herdbefunde wurde eine kontrastmittelverstärkte Sonographie durchgeführt. Im CEUS zeigt das Leberparenchym in der portalvenösen und Spätphase homogenes Enhancement – die echoreichen Noduli sind isokontrastiert (Ausschluss Malignität). Die kleinen Zysten sind in allen Perfusionphasen nicht KM-aufnehmend. In Zusammenschau der Bildgebung und der bekannten γ-GT-Erhöhung besteht kein Anhalt für eine maligne Lebererkrankung. Eine einmalige sonographische Verlaufskontrolle wurde vereinbart.