Lebergefäße
Befunde der Leberarterien:
Befunde der Pfortader:
Befunde der Lebervenen:
c
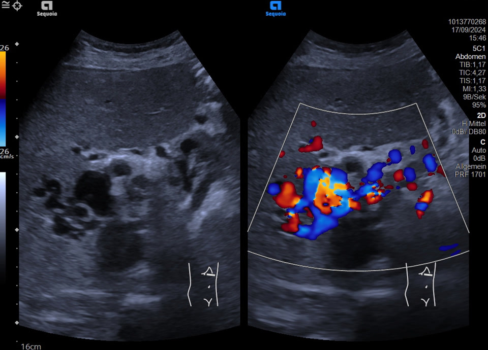
Normvariante: A. hepatica propria dorsal der Pfortader gelegen im proximalen Hilus (meist ist hier die A. hepatica zwischen DHC und Pfortader zu finden)
Normvariante: A. hepatica propria dorsal der Pfortader gelegen i
Ultraschall, Ultraschallatlas, Ultraschallbilder, Ultraschallvideos, Sonographie, Sonographieatlas, Sonographiebilder, Sonographievideos, Kontrastmittelultraschall, Kontrastmittelsonographie, Medizinische Klinik 1, Uniklinik, Universitätsklinikum, Erlangenm proximalen Hilus (meist ist hier die A. hepatica zwischen DHC und Pfortader zu finden)















