• Deutsch
  • English
  • Sonographieatlas Erlangen

    uk logo

    Menü anzeigen Menü ausblenden

    • Leber
      • Normalbefunde
      • Leberverfettung>
        • Generalisierte Verfettung
        • Fokale Mehrverfettung
        • Fokale Minderverfettung
      • Leberzirrhose>
        • Zirrhotische Leberveränderungen
        • Aszites
        • Umgehungskreisläufe
      • Stauungsleber
      • Benigne Leberherde>
        • Blande Zyste
        • Atypische Zyste
        • Zystenleber
        • Echinokokkus
        • Hämangiom
        • Atypisches Hämangiom
        • Fokale Noduläre Hyperplasie
        • Leberabszess
        • Leberhämatom
        • Angiomyolipom
        • Porphyrien
        • Cholangiofibrome
        • Leberadenom
        • Von-Meyenburg-Komplex
      • Maligne Leberherde>
        • Hepatozelluläres Karzinom
        • Lebermetastasen
        • Angiosarkom
      • Lebergefäßbefunde>
        • Lebergefäße
          • Rechtsherzinsuffizienz
        • TIPSS
        • Budd-Chiari-Syndrom
    • Gallenblase
      • Normalbefunde
      • Cholezystitis>
        • Akute Cholezystitis
        • Gallenblasenperforation
      • Cholezystolithiasis>
        • Gallenblasensteine
        • Sludge
        • Steingallenblase
      • Gallenblasenpolyp
      • Stauungsgallenblase
      • Ödematöse Wandverdickung
      • Adenomyomatose
      • Cholesteatose
      • Porzellangallenblase
      • Sonstige Befunde
    • Gallenwege
      • Normalbefunde
      • Cholestase
      • Choledocholithiasis
      • Cholangitis
      • Choledochuszele
      • Aerobilie
      • Caroli-Syndrom
      • DHC-Stent
      • Biliodigestive Anastomose
      • Endosonographie
    • Pankreas
      • Normalbefunde
      • Akute Pankreatitis
      • Chronische Pankreatitis
      • Pankreastumore>
        • Ductales Adenokarzinom
        • Zystischer Tumor
        • Pankreasmetastasen
      • sonstige Befunde
    • Milz
      • Normalbefunde
      • Splenomegalie
      • Nebenmilz
      • Benigne Milzläsionen>
        • Milzzyste
        • Sternenhimmelmilz
        • Granulome
      • Milzinfarkt
      • Milzeinblutung
      • Maligne Milztumore
      • Sonstige Befunde
    • Niere
      • Normalbefunde
      • Akutes Nierenversagen
      • Chronische Nierenerkrankung
      • Nephrolithiasis
      • Harnstau
      • Nierenzysten>
        • Einfache Nierenzyste
        • Komplexe Nierenzyste
        • Zystenniere
      • Maligne Befunde
      • Nierenzellkarzinom
      • Angiomyolipom
      • Pyelonephritis
      • Nebennierenveränderungen
      • Sonstige Befunde
    • Peritoneum/Bauchwand
      • Hernien
      • Aszites
      • Peritonitis
      • Peritonealkarzinose
      • Sonstige Befunde
    • Gastrointestinaltrakt
      • Ösophagus
      • Magen>
        • Normalbefunde
        • Retentionsmagen
        • Magentumore
        • Portale Hypertension
        • Sonstige Befunde
      • Dünndarm>
        • Normalbefunde
        • Morbus Crohn
        • Dünndarmileus
        • Sonstige Befunde
      • Kolon>
        • Normalbefunde
        • Colitis Ulcerosa
        • Morbus Crohn
        • Divertikulitis
        • Ischämische Kolitis
        • Dickdarmtumore
      • Appendizitis
    • Unterbauch
      • Harnblase>
        • Harnblasendivertikel
        • Blasentumore
        • Blasenstein
        • Urothelkarzinom der Harnblase
        • Sonstige Befunde
      • Prostata>
        • Benigne Prostatahyperplasie
      • Uterus
      • Ovarien
      • Freie Flüssigkeit
      • Hoden
    • Thorax
      • Normalbefunde
      • Pleuraerguss
      • Rippenfraktur
      • Pneumothorax
      • Brustwandmetastase
      • Pneumonie
      • B-Linien
    • Schilddrüse, Hals
      • Normalbefund
      • Schilddrüsenknoten
      • Autoimmunthyreopathien
      • Thyreoiditis de Quervain
      • Schilddrüsenzyste
      • Schilddrüsenkarzinom
      • Nebenschilddrüse
      • Hals
    • Gefäße
      • Arterien>
        • Arteriosklerose
        • Stenose
        • Aortenaneurysma
        • Aneurysma spurium
        • Vaskulitis
        • Periaortitis
        • A. subclavia
        • A. poplitea
      • Venen>
        • Normalbefunde
        • Arm-/Halsvenenthrombose
        • Beinvenenthrombose
        • Einflussstauung
        • Vena cava
        • Vena portae
        • Vena mesenterica superior
      • Nierengefäße
      • Lymphgefäße
    • Lymphknoten
    • Muskuloskelettal + Weichteile
      • Obere Extremität>
        • Fingergelenke
      • Untere Extremität>
        • Hüfte
        • Knie
      • Thorax
      • Weichteile
    • Herz
    • Interventionen im Ultraschall
      • Thrombininjektion in ein Pseudoaneurysma
      • Blutung nach Leberpunktion
      • Lymphknotenbiopsie transhepatisch
      • Lymphknotenbiopsie Axilla
      • Punktion einer Brustwandmetastase
      • Punktion Mesenterium
      • Punktion Gl. submandibularis
      • Punktion Raumforderung Oberbauch
      • Punktion Raumforderung Leber
      • Punktion subkutane Metastase
      • Ablationsdefekt nach Mikrowellenablation
      • Abszessdrainage Leber
      • Punktion Schilddrüsenzyste
      • Leckage PTCD
      • PeritX™ – Anlage einer getunnelten Aszitesdrainage
    • Kontrastmittelsonographie
      • Leber
        • Fokale Noduläre Hyperplasie
        • Zufallsbefund gutartige Leberläsion
        • Hämangiom
        • Riesenhämangiom
        • CEUS Kasuistik Hämangiome
        • High-Flow-Hämangiom
        • Hämangiom und Lymphom
        • Dysontogenetische Leberzyste
        • Zystenleber
        • Komplexe Leberzyste
        • Leberabszess
        • Entzündlicher Pseudotumor der Leber
        • Inflammatorisches Adenom
        • Leberadenom (HNF1-alpha inaktiv)
        • Fokale Minderverfettung
        • Hepatomegale Fettleber mit großflächiger zonaler Minderverfettung
        • Lebermetastasen
        • Leberfiliae mit zentraler Nekrose
        • Kleines HCC
        • HCC ohne Leberzirrhose
        • Diffus wachsendes HCC mit Pfortaderinfiltration
        • HCC mit Tumoreinbruch in die V. cava inferior
        • Kleines HCC + Kontrolle nach Mikrowellenablation
        • Cholangiozelluläres Karzinom
        • Leberfiliae Leiomyosarkom
        • Porphyria cutanea tarda (Leber)
        • Porphyria cutanea tarda 2 (Leber)
        • E. multilocularis
        • zystische Echinokokkose (WHO CE 4 Stadium)
        • Portalvenöser Shunt
        • Leberhämatom (HELLP-Syndrom)
        • Von-Meyenburg-Komplexe
        • Zystisch-solide Lebermetastase bei Ovarialkarzinom
      • Pankreas
        • Pankreasschwanzkarzinom
        • Pankreas NET (G1)
        • Langzeitverlauf Pankreas-RF Z.n. Pankreatitis
        • Adenokarzinom Pankreaskorpus
        • Symptomatische Pseudozyste
      • Niere
        • Subkapsuläres Nierenhämatom rechts
        • Nierenzyste bei kontralateralem Nierenzellkarzinom
        • Pseudotumor der Niere
        • Zufallsbefund Nierenzellkarzinom
        • Komplizierte Nierenzyste
        • Nierenzellkarzinom nach Radiofrequenzablation
        • Angiomyolipom
      • Milz
        • Milzabszess
        • Subkapsuläres Milzhämatom
        • Posttraumatische Milzzyste
        • Milzinfarkt
        • Milznekrose
      • Weitere
        • Gallenblasenblasenperforation
        • Urothelkarzinom der Harnblase
        • Unklare Harnblasenraumforderung
        • Follikuläres Lymphom
    • Artefakte
    • FAST
      • Perikard
      • Douglas-Raum
      • Freie Flüssigkeit
      • Freie Luft
    • Sonstige Befunde
    • Retroperitoneum
    • Leber
      • Normalbefunde
      • Leberverfettung>
        • Generalisierte Verfettung
        • Fokale Mehrverfettung
        • Fokale Minderverfettung
      • Leberzirrhose>
        • Zirrhotische Leberveränderungen
        • Aszites
        • Umgehungskreisläufe
      • Stauungsleber
      • Benigne Leberherde>
        • Blande Zyste
        • Atypische Zyste
        • Zystenleber
        • Echinokokkus
        • Hämangiom
        • Atypisches Hämangiom
        • Fokale Noduläre Hyperplasie
        • Leberabszess
        • Leberhämatom
        • Angiomyolipom
        • Porphyrien
        • Cholangiofibrome
        • Leberadenom
        • Von-Meyenburg-Komplex
      • Maligne Leberherde>
        • Hepatozelluläres Karzinom
        • Lebermetastasen
        • Angiosarkom
      • Lebergefäßbefunde>
        • Lebergefäße
          • Rechtsherzinsuffizienz
        • TIPSS
        • Budd-Chiari-Syndrom
    • Gallenblase
      • Normalbefunde
      • Cholezystitis>
        • Akute Cholezystitis
        • Gallenblasenperforation
      • Cholezystolithiasis>
        • Gallenblasensteine
        • Sludge
        • Steingallenblase
      • Gallenblasenpolyp
      • Stauungsgallenblase
      • Ödematöse Wandverdickung
      • Adenomyomatose
      • Cholesteatose
      • Porzellangallenblase
      • Sonstige Befunde
    • Gallenwege
      • Normalbefunde
      • Cholestase
      • Choledocholithiasis
      • Cholangitis
      • Choledochuszele
      • Aerobilie
      • Caroli-Syndrom
      • DHC-Stent
      • Biliodigestive Anastomose
      • Endosonographie
    • Pankreas
      • Normalbefunde
      • Akute Pankreatitis
      • Chronische Pankreatitis
      • Pankreastumore>
        • Ductales Adenokarzinom
        • Zystischer Tumor
        • Pankreasmetastasen
      • sonstige Befunde
    • Milz
      • Normalbefunde
      • Splenomegalie
      • Nebenmilz
      • Benigne Milzläsionen>
        • Milzzyste
        • Sternenhimmelmilz
        • Granulome
      • Milzinfarkt
      • Milzeinblutung
      • Maligne Milztumore
      • Sonstige Befunde
    • Niere
      • Normalbefunde
      • Akutes Nierenversagen
      • Chronische Nierenerkrankung
      • Nephrolithiasis
      • Harnstau
      • Nierenzysten>
        • Einfache Nierenzyste
        • Komplexe Nierenzyste
        • Zystenniere
      • Maligne Befunde
      • Nierenzellkarzinom
      • Angiomyolipom
      • Pyelonephritis
      • Nebennierenveränderungen
      • Sonstige Befunde
    • Peritoneum/Bauchwand
      • Hernien
      • Aszites
      • Peritonitis
      • Peritonealkarzinose
      • Sonstige Befunde
    • Gastrointestinaltrakt
      • Ösophagus
      • Magen>
        • Normalbefunde
        • Retentionsmagen
        • Magentumore
        • Portale Hypertension
        • Sonstige Befunde
      • Dünndarm>
        • Normalbefunde
        • Morbus Crohn
        • Dünndarmileus
        • Sonstige Befunde
      • Kolon>
        • Normalbefunde
        • Colitis Ulcerosa
        • Morbus Crohn
        • Divertikulitis
        • Ischämische Kolitis
        • Dickdarmtumore
      • Appendizitis
    • Unterbauch
      • Harnblase>
        • Harnblasendivertikel
        • Blasentumore
        • Blasenstein
        • Urothelkarzinom der Harnblase
        • Sonstige Befunde
      • Prostata>
        • Benigne Prostatahyperplasie
      • Uterus
      • Ovarien
      • Freie Flüssigkeit
      • Hoden
    • Thorax
      • Normalbefunde
      • Pleuraerguss
      • Rippenfraktur
      • Pneumothorax
      • Brustwandmetastase
      • Pneumonie
      • B-Linien
    • Schilddrüse, Hals
      • Normalbefund
      • Schilddrüsenknoten
      • Autoimmunthyreopathien
      • Thyreoiditis de Quervain
      • Schilddrüsenzyste
      • Schilddrüsenkarzinom
      • Nebenschilddrüse
      • Hals
    • Gefäße
      • Arterien>
        • Arteriosklerose
        • Stenose
        • Aortenaneurysma
        • Aneurysma spurium
        • Vaskulitis
        • Periaortitis
        • A. subclavia
        • A. poplitea
      • Venen>
        • Normalbefunde
        • Arm-/Halsvenenthrombose
        • Beinvenenthrombose
        • Einflussstauung
        • Vena cava
        • Vena portae
        • Vena mesenterica superior
      • Nierengefäße
      • Lymphgefäße
    • Lymphknoten
    • Muskuloskelettal + Weichteile
      • Obere Extremität>
        • Fingergelenke
      • Untere Extremität>
        • Hüfte
        • Knie
      • Thorax
      • Weichteile
    • Herz
    • Interventionen im Ultraschall
      • Thrombininjektion in ein Pseudoaneurysma
      • Blutung nach Leberpunktion
      • Lymphknotenbiopsie transhepatisch
      • Lymphknotenbiopsie Axilla
      • Punktion einer Brustwandmetastase
      • Punktion Mesenterium
      • Punktion Gl. submandibularis
      • Punktion Raumforderung Oberbauch
      • Punktion Raumforderung Leber
      • Punktion subkutane Metastase
      • Ablationsdefekt nach Mikrowellenablation
      • Abszessdrainage Leber
      • Punktion Schilddrüsenzyste
      • Leckage PTCD
      • PeritX™ – Anlage einer getunnelten Aszitesdrainage
    • Kontrastmittelsonographie
      • Leber
        • Fokale Noduläre Hyperplasie
        • Zufallsbefund gutartige Leberläsion
        • Hämangiom
        • Riesenhämangiom
        • CEUS Kasuistik Hämangiome
        • High-Flow-Hämangiom
        • Hämangiom und Lymphom
        • Dysontogenetische Leberzyste
        • Zystenleber
        • Komplexe Leberzyste
        • Leberabszess
        • Entzündlicher Pseudotumor der Leber
        • Inflammatorisches Adenom
        • Leberadenom (HNF1-alpha inaktiv)
        • Fokale Minderverfettung
        • Hepatomegale Fettleber mit großflächiger zonaler Minderverfettung
        • Lebermetastasen
        • Leberfiliae mit zentraler Nekrose
        • Kleines HCC
        • HCC ohne Leberzirrhose
        • Diffus wachsendes HCC mit Pfortaderinfiltration
        • HCC mit Tumoreinbruch in die V. cava inferior
        • Kleines HCC + Kontrolle nach Mikrowellenablation
        • Cholangiozelluläres Karzinom
        • Leberfiliae Leiomyosarkom
        • Porphyria cutanea tarda (Leber)
        • Porphyria cutanea tarda 2 (Leber)
        • E. multilocularis
        • zystische Echinokokkose (WHO CE 4 Stadium)
        • Portalvenöser Shunt
        • Leberhämatom (HELLP-Syndrom)
        • Von-Meyenburg-Komplexe
        • Zystisch-solide Lebermetastase bei Ovarialkarzinom
      • Pankreas
        • Pankreasschwanzkarzinom
        • Pankreas NET (G1)
        • Langzeitverlauf Pankreas-RF Z.n. Pankreatitis
        • Adenokarzinom Pankreaskorpus
        • Symptomatische Pseudozyste
      • Niere
        • Subkapsuläres Nierenhämatom rechts
        • Nierenzyste bei kontralateralem Nierenzellkarzinom
        • Pseudotumor der Niere
        • Zufallsbefund Nierenzellkarzinom
        • Komplizierte Nierenzyste
        • Nierenzellkarzinom nach Radiofrequenzablation
        • Angiomyolipom
      • Milz
        • Milzabszess
        • Subkapsuläres Milzhämatom
        • Posttraumatische Milzzyste
        • Milzinfarkt
        • Milznekrose
      • Weitere
        • Gallenblasenblasenperforation
        • Urothelkarzinom der Harnblase
        • Unklare Harnblasenraumforderung
        • Follikuläres Lymphom
    • Artefakte
    • FAST
      • Perikard
      • Douglas-Raum
      • Freie Flüssigkeit
      • Freie Luft
    • Sonstige Befunde
    • Retroperitoneum

    Akute Cholezystitis

    • Akute Cholezystitis mit Konkrement (Video)
    • Gallenblasenempyem mit Perforation (Video)
    • Gallenblasenempyem mit Perforation (Video)
    • Konkrement mit Hydrops & Cholezystitis (Video)
    • Akute Cholezystitis
    • Akute Cholezystitis (Video)
    • Gedeckt perforierte Gallenblase
    • Gedeckt perforierte Gallenblase (Video)

     

    c

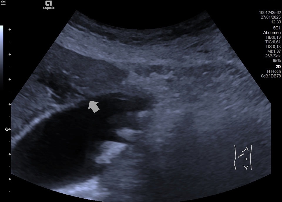
    Akute Cholezystitis (Wand verdickt und geschichtet), zusätzlich Gallenblasenstein im Fundus

    Ultraschall in der Notaufnahme: Gallenblasenempyem mit gedeckter Perforation

    Ultraschall in der Notaufnahme: Gallenblasenempyem mit gedeckter Perforation (hochfrequenter Linearschallkopf)

    Fixiertes Konkrement im Ductus cysticus mit konsekutivem Gallenblasenhydrops und Cholezystitis (nebenbefundlich Sludge und Cholezystolithiasis)

    Ultraschall, Ultraschallatlas, Ultraschallbilder, Ultraschallvideos, Sonographie, Sonographieatlas, Sonographiebilder, Sonographievideos, Kontrastmittelultraschall, Kontrastmittelsonographie, Medizinische Klinik 1, Uniklinik, Universitätsklinikum, Erlangen

    ©2026 Sonographieatlas Erlangen

    Impressum

    Cookie-Richtlinien-EU

    ↑ ↑

    Cookie-Zustimmung verwalten
    Wir verwenden Cookies, um unsere Website und unseren Service zu optimieren.
    Funktional Immer aktiv
    Die technische Speicherung oder der Zugang ist unbedingt erforderlich für den rechtmäßigen Zweck, die Nutzung eines bestimmten Dienstes zu ermöglichen, der vom Teilnehmer oder Nutzer ausdrücklich gewünscht wird, oder für den alleinigen Zweck, die Übertragung einer Nachricht über ein elektronisches Kommunikationsnetz durchzuführen.
    Vorlieben
    Die technische Speicherung oder der Zugriff ist für den rechtmäßigen Zweck der Speicherung von Präferenzen erforderlich, die nicht vom Abonnenten oder Benutzer angefordert wurden.
    Statistiken
    Die technische Speicherung oder der Zugriff, der ausschließlich zu statistischen Zwecken erfolgt. Die technische Speicherung oder der Zugriff, der ausschließlich zu anonymen statistischen Zwecken verwendet wird. Ohne eine Vorladung, die freiwillige Zustimmung deines Internetdienstanbieters oder zusätzliche Aufzeichnungen von Dritten können die zu diesem Zweck gespeicherten oder abgerufenen Informationen allein in der Regel nicht dazu verwendet werden, dich zu identifizieren.
    Marketing
    Die technische Speicherung oder der Zugriff ist erforderlich, um Nutzerprofile zu erstellen, um Werbung zu versenden oder um den Nutzer auf einer Website oder über mehrere Websites hinweg zu ähnlichen Marketingzwecken zu verfolgen.
    Optionen verwalten Dienste verwalten Verwalten von {vendor_count}-Lieferanten Lese mehr über diese Zwecke
    Einstellungen anzeigen
    {title} {title} {title}