Schilddrüsenknoten
Einteilung nach TIRADS:
| EU-TIRADS 1 | EU-TIRADS 2 | EU-TIRADS 3 | EU-TIRADS 4 | EU-TIRADS 5 | |
|---|---|---|---|---|---|
| Sonographische Merkmale |
Keine Knoten | Zyste, spongiformer Knoten | Oval, glatt begrenzt, echogleich oder echoreicher (im Vergleich zur SD), keine sonographisch suspekte Merkmale | Oval, glatt begrenz, etwas echoärmer (im Vergleich SD), keine sonographisch suspekten Merkmale | Mindestens eins dieser suspekten Merkmale:
|
| Malignitätsrisiko % | 0 | Annähernd 0 | 2-4 | 6-17 | 26-87 |
Kasuistik:
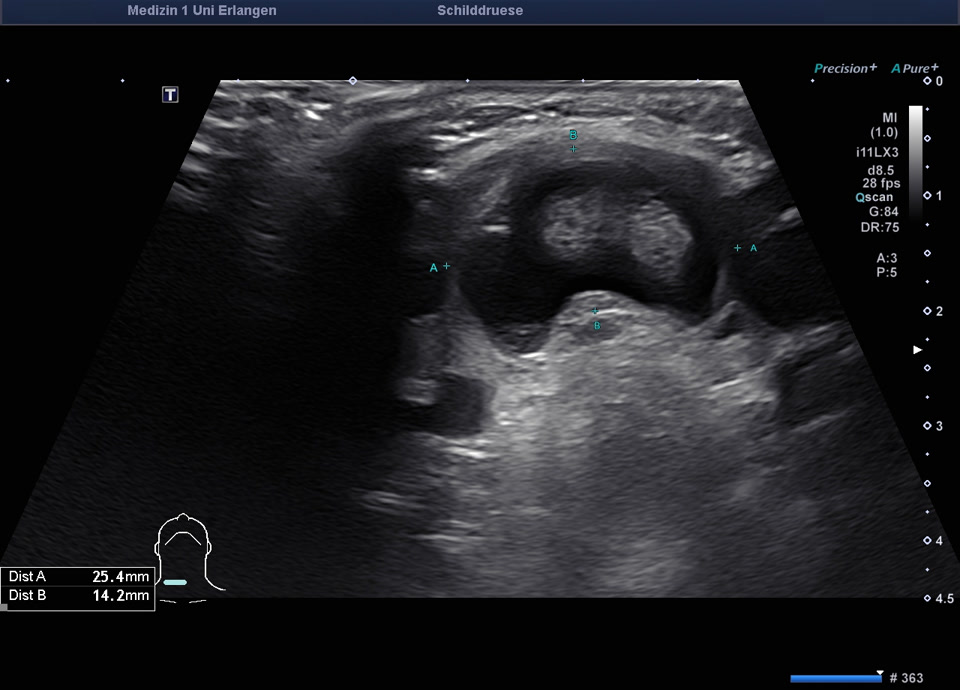
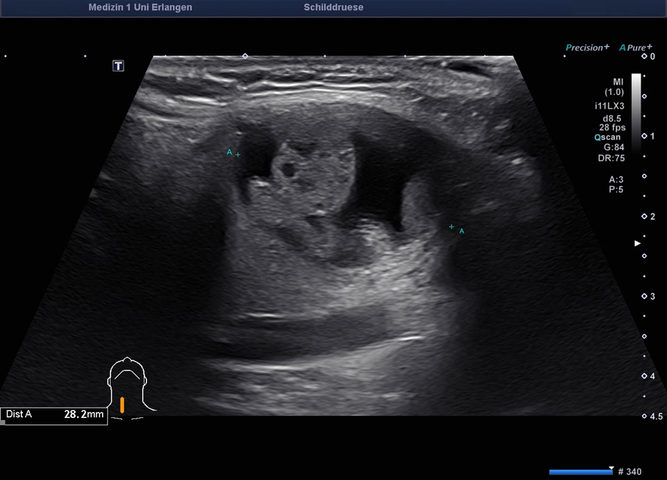
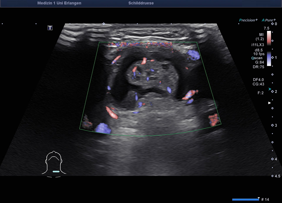
78-jähriger Patient mit Zufallsbefund einer hypodensen Schilddrüsenläsion im Rahmen eines Kardio-CTs vor geplanter Aortenklappenoperation. In der sonographischen Abklärung zeigte sich eine normal große Schilddrüse mit einem 2 cm echoarmen Knoten (EU-TIRADS 4), farbdopplersonographisch ohne relevante intranoduläre Durchblutung. Die Elastometrie zeigte eine erhöhte Gewebesteifigkeit. Der TSH-Wert lag im Normbereich, klinisch bestanden keine Hinweise auf eine Schilddrüsenerkrankung. Es erfolgte eine ultraschallgesteuerte Stanzbiopsie sowie eine Feinnadelpunktion mit zytologischer Aufarbeitung (Zytospin). Histologisch ergab sich ein follikulärer Knoten. Kommentar des Pathologen: anhand der Biopsie kann eine follikuläre Neoplasie nicht sicher von einem autonomen Adenom unterschieden werden. Zur funktionellen Abklärung (zum Nachweis eines autonomes Adenom) sollte eine Schilddrüsenszintigrafie erfolgen. Aufgrund der vorausgegangenen Kontrastmittelgabe (Kardio-CT) ist eine Schilddrüsenszintigrafie erst nach ≥8 Wochen möglich. Vorrangig erfolgt zunächst die Behandlung der hochgradigen Aortenstenose. Nach Durchführung der Szintigrafie ohne Nachweis eines Adenoms sollte aufgrund des Risikos einer follikulären Neoplasie eine operative Abklärung (diagnostische Hemithyreodektomie) erwogen werden. Alternativ sind sonographische Verlaufskontrollen nach 6 und 12 Monaten möglich.






















