Milznekrose
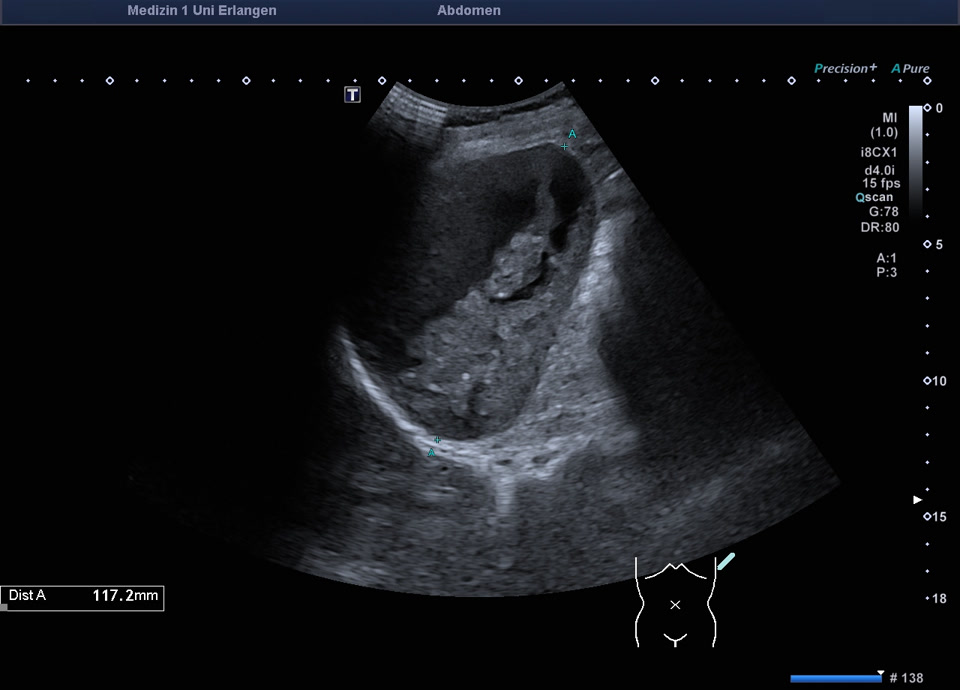
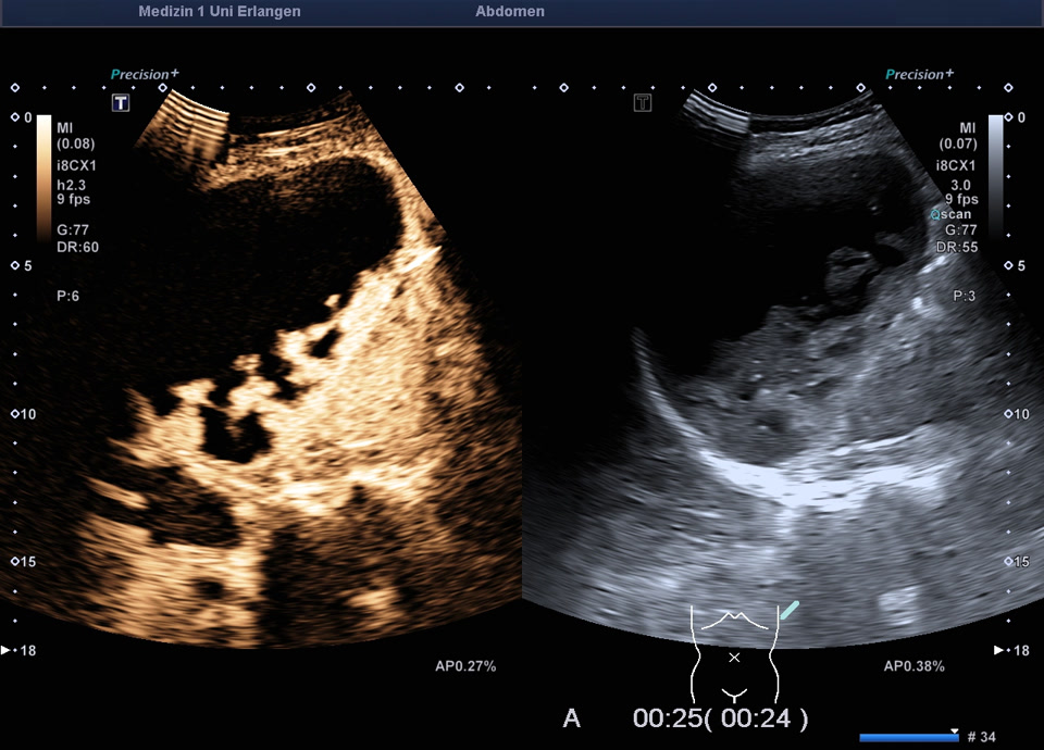
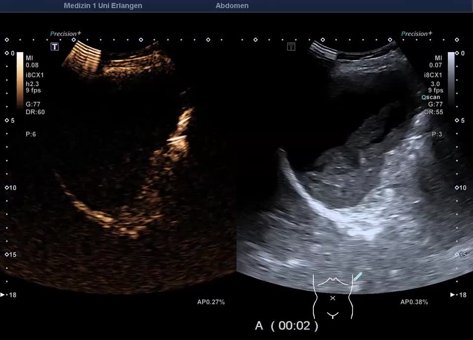
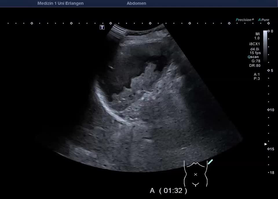
Kasuistik: 57-jährige Patientin mit einer Granulomatose mit Polyangiitis mit unklarer Leberwerterhöhung (ohne abdominelle Symptomatik). Im Ultraschall zeigt sich ein überraschender Milzbefund: Die Milz stellt sich großteils liquide dar, mit nur einem geringen Anteil soliden Gewebes, die Milzkapsel ist intakt. Die Kontrastmittelsonographie zeigt wenig erhaltenes und kontrastiertes Milzparenchym, ohne KM-Austritt in die flüssigen Anteile. Ein Trauma ist auf explizite Nachfrage nicht erinnerlich. Der Befund entspricht dem seltenen Fall einer asymptomatischen subtotalen Milznekrose, am ehesten im Rahmen einer nekrotisierenden Vaskulitis.

