Leberhämatom (HELLP-Syndrom)
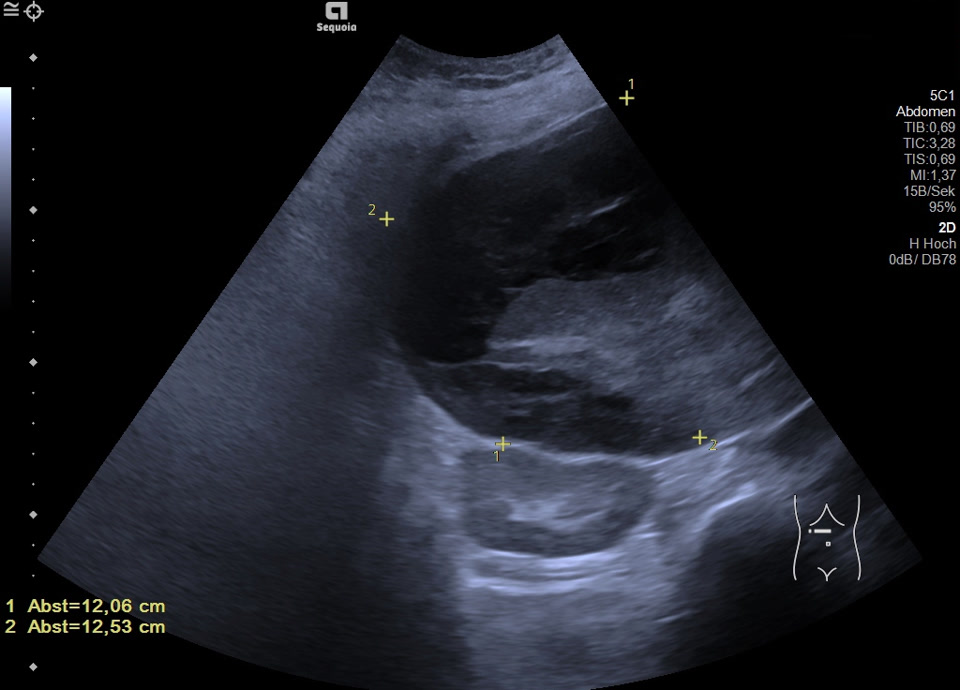
Kasuistik: die 48-jährige Patientin hat während ihrer Schwangerschaft ein HELLP-Syndrom entwickelt. Zustand nach Sectio bei schwerer Präeklampsie und Gemini in der 37. SSW. Post-partales HELLP mit Leberhämatom und beginnendem Leber- und Nierenversagen. Durch die Interventionelle Radiologie erfolgte die CT-gestütze Embolisation mit Coils. Sonographisch stellt sich jetzt ein 12x13cm messendes subkapsuläres Hämatom im rechten Leperlappen mit Anzeichen einer beginnenden Organisation dar. Die Läsion nimmt kein Kontrastmittel auf, eine aktive Blutung kann ausgeschlosen werden.
