Harnstau
Kasuistik
83 jährige Patientin mit Harnstau I° bei liegender Uretherschiene bei 11 cm großer retroperitonealer Raumforderung im linken Mittelbach (DD Lymphom)
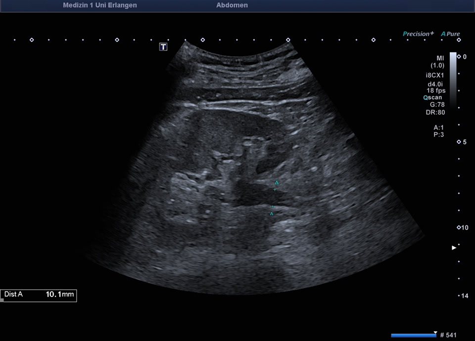
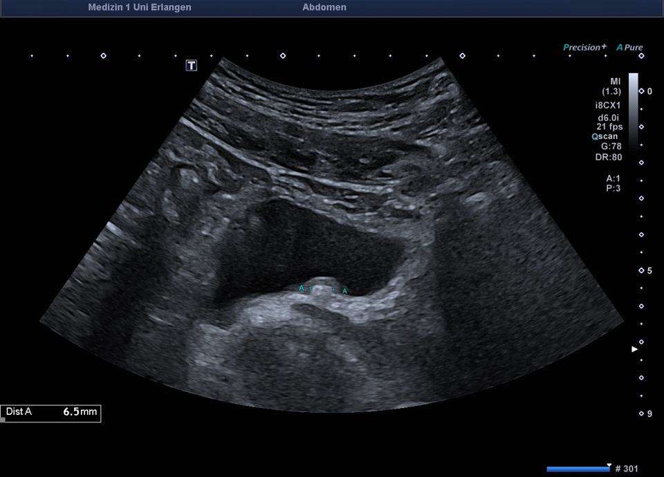
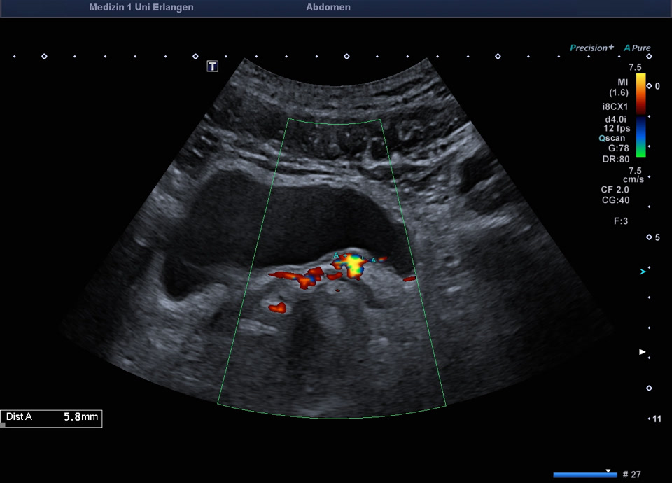
Kasuistik Ureterolithiasis
55-jähriger Patient mit abdominellen Beschwerden. Sonographisch stellt sich die linke Niere mit einem altersentsprechenden Parenchymsaum und regelrechter Mark-/Rindendifferenzierung dar. Das Nierenbeckenkelchsystem ist nicht erweitert. Distal im Bereich des Harnblasenostiums zeigt sich ein Konkrement von ca. 6 mm im Ureter, begleitet von positivem Twinkling-Artefakt im Farbdoppler. Der Ureter ist diskret erweitert, proximal bis 10mm. Sonographischer Befund vereinbar mit einer Ureterolithiasis im distalen linken Ureter (Ostium Harnblasenboden).




















