Zystisch-solide Lebermetastase bei Ovarialkarzinom
Kasuistik: 61-jährige Patientin mit V.a. Antiphospholipid-Syndrom, Z. n. multiplen Hirninfarkten und Lungenarterienembolie unklarer Genese sowie CT-morphologisch unklarer ovarieller Raumforderung. Es erfolgt eine sonographische Abklärung des Abdomens.
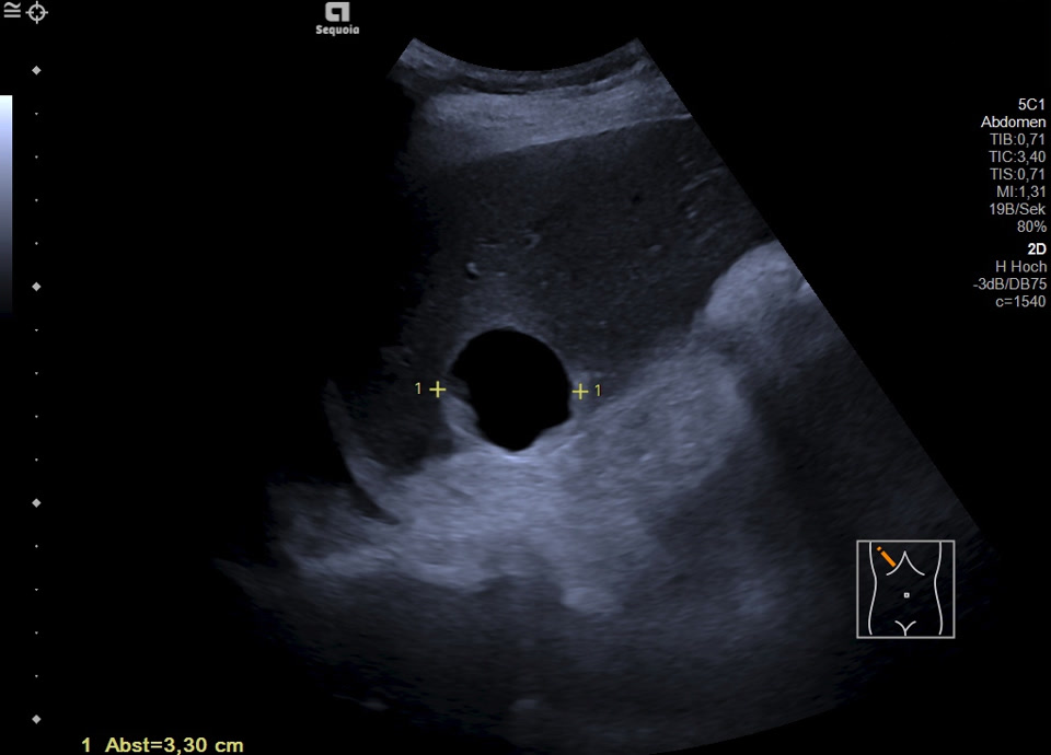
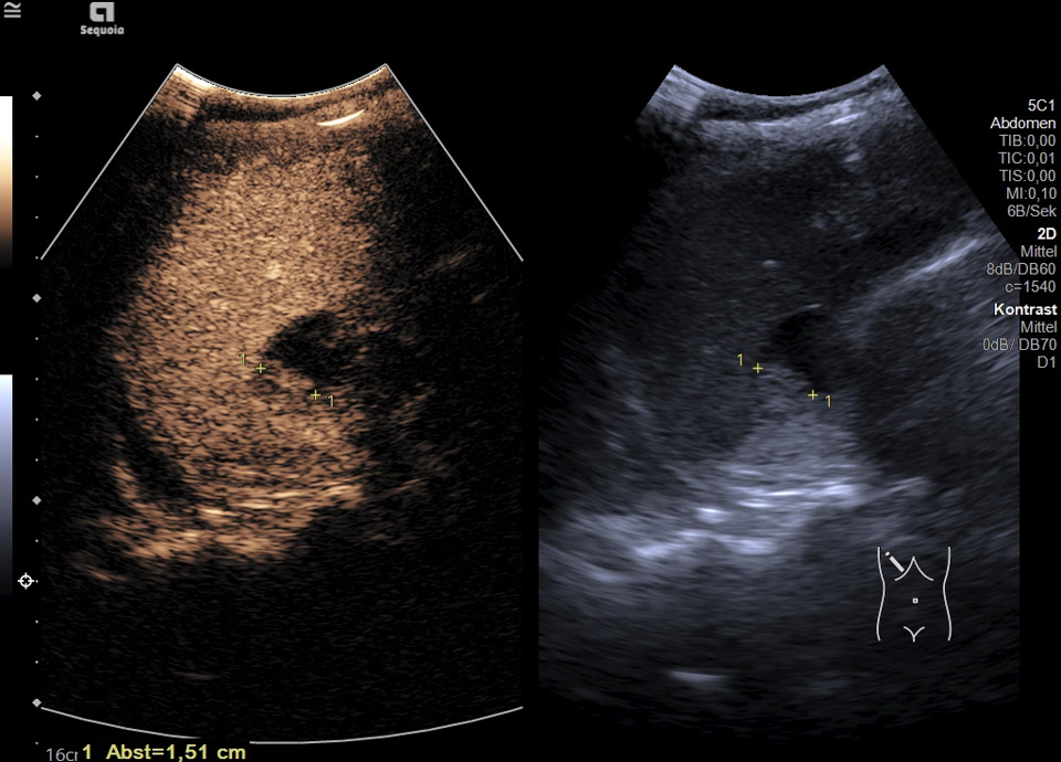
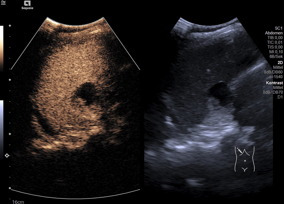
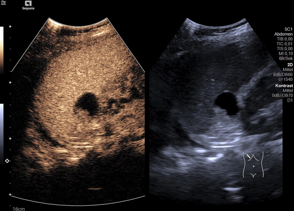
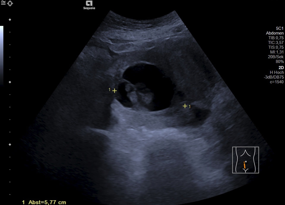
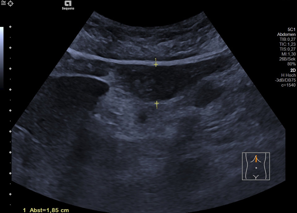
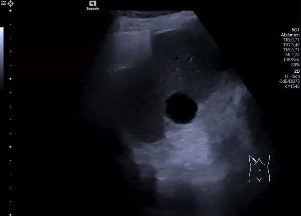
Es zeigt sich subkapsulär in Segment VI der Leber eine zystische Raumforderung mit durchgehendem Kapselreflex und hyperechogenem solidem Anteil. Der Befund ist nicht vereinbar mit einer blanden Zyste, sondern suspekt auf eine zystisch-solide Metastase. In der ergänzenden CEUS nehmen die soliden Anteile in der arteriellen Phase Kontrastmittel auf und zeigen in den portalvenösen sowie späten Phasen eine persistierende KM-Anreicherung ohne Washout. Zusätzlich finden sich eine noduläre Peritonealverdickung im Oberbauch sowie ein zystischer Ovarialtumor mit soliden Anteilen im rechten Unterbauch. In Zusammenschau der Befunde besteht der dringende Verdacht auf ein hepatisch und peritoneal metastasierendes Ovarialkarzinom.






