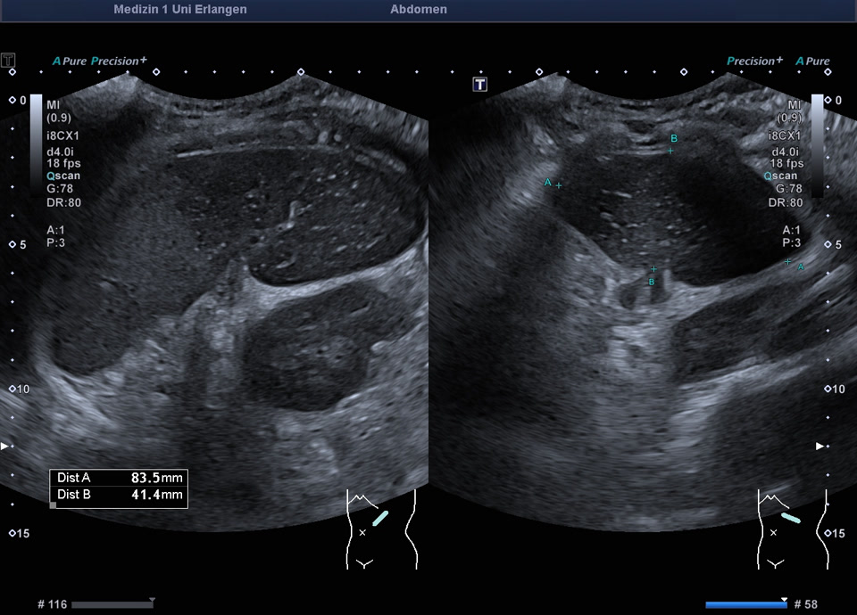
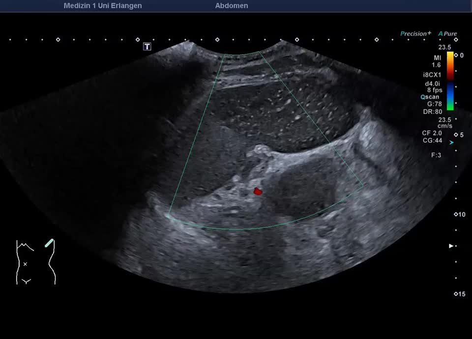
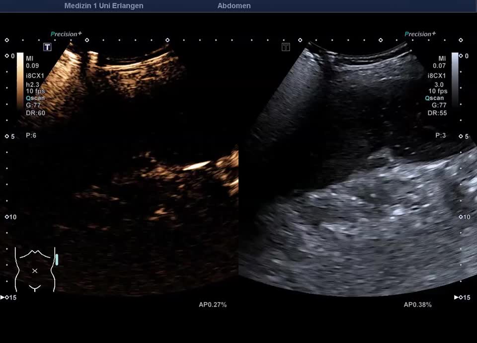
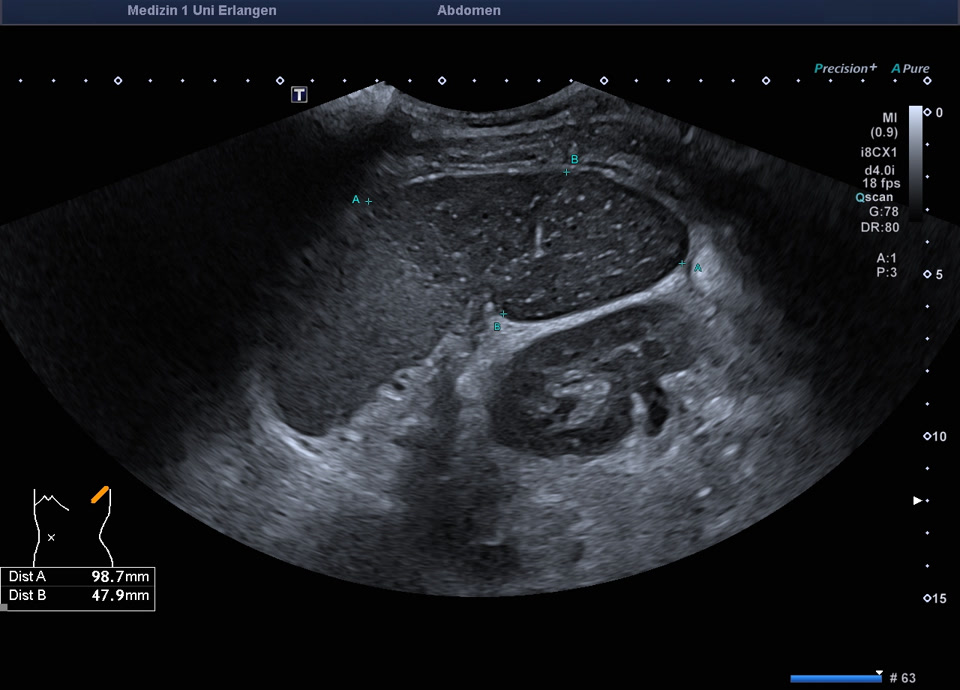
Milzinfarkt
Epikrise: 19-jährige Patientin mit einem schweren angeborenen Herzfehler berichtet über plötzlich aufgetretene starke Schmerzen in der linken Flanke vor 14 Tagen. Sonographisch zeigt sich die Milz regelrecht lokalisiert, mit einem ausgedehnten Milzinfarkt der unteren Milzhälfte. Weder im Farbdoppler, noch im CEUS, lässt sich eine Restperfusion der unteren Milzhälfte feststellen. Therapeutisch wird eine Antikoagualtion begonnen und eine Verlaufskontrolle in 4 Wochen veranlasst.

