Lymphknoten
Venöse Kompression durch infiltrierte Lymphknoten (Bilder-/Videoserie)
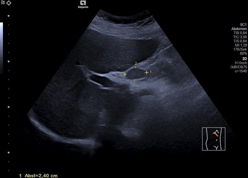
Maligner Lymphknoten inguinal rechts bei Non-Hodgkin Lymphom
Vergrößerte retroperitoneale Lymphknoten bei Non-Hodgkin Lymphom, die sich vom Oberbauch bis in die rechte Leiste verfolgen lassen (hochfrequenter Linearschallkopf)
Malignitätssuspekter Lymphknoten dorsal des linken Leberlappens
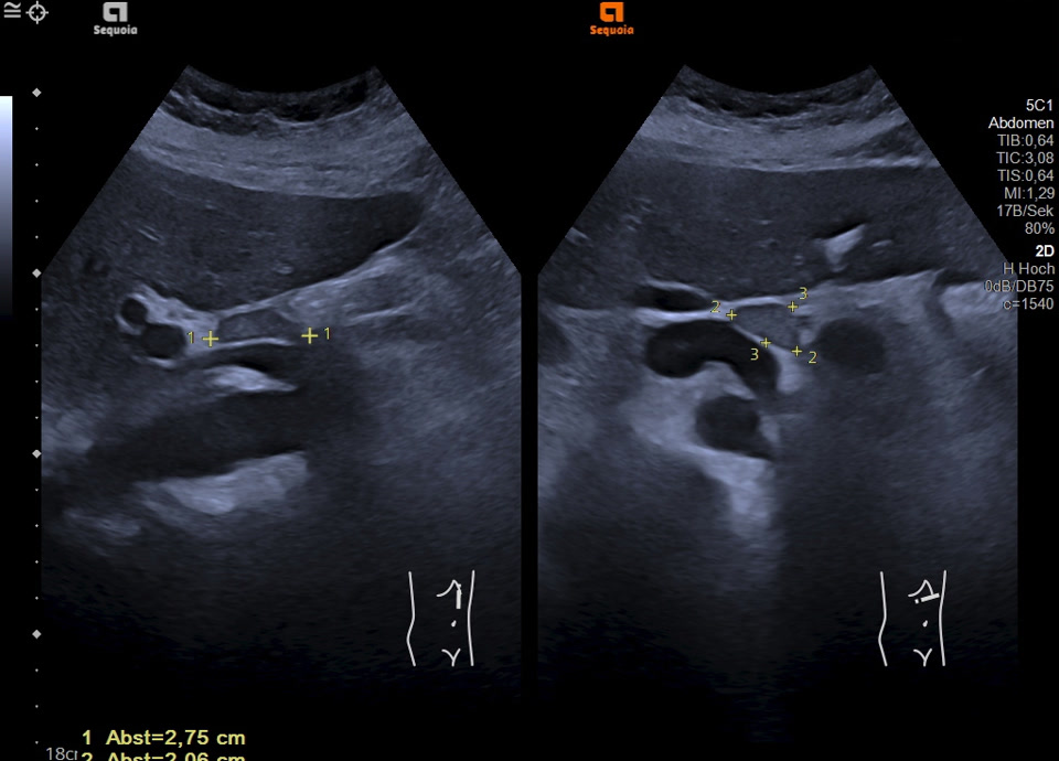
Maligner Lymphknoten inguinal links (rund, kein Hiluszeichen, echoarm; hochfrequenter Linearschallkopf)
Lymphknotenkonglomerate im Milzhilus bei CLL, nebenbefundlich Splenomegalie (siehe auch Folgevideo)
Lymphknotenkonglomerate im Milzhilus und Paraaortal, nebenbefundlich Splenomegalie
Maligne abdominelle Lymphadenopathie bei hochmalignem Lymphom (mit * markiert: Wirbelsäule, mit ** markiert: Aorta), siehe auch Folgevideo
Malignitätsuspekte Raumforderung retroperitoneal und die A. mesenterica superior ummauernd (siehe Markierung), sonographische Punktion ergibt ein Non-Hodgkin Lymphom der B-Zell-Reihe (anaplastische Morphologie)
Malignitätsuspekte Raumforderung retroperitoneal und die A. mesenterica superior ummauernd (siehe Markierung), sonographische Punktion ergibt ein Non-Hodgkin Lymphom der B-Zell-Reihe (Entzündliche Lymphknoten-Vergrößerungen (verkäsende Nekrose) bei anamnestisch bekannter Darmtuberkulose
Malignitätsuspekte Raumforderung retroperitoneal und die A. mesenterica superior ummauernd, sonographische Punktion ergibt ein Non-Hodgkin Lymphom der B-Zell-Reihe (anaplastische Morphologie)
Malignitätsuspekte Raumforderung retroperitoneal und die A. mesenterica superior ummauernd, sonographische Punktion ergibt ein Non-Hodgkin Lymphom der B-Zell-Reihe (anaplastische Morphologie)
Entzündliche Lymphknoten-Vergrößerungen (verkäsende Nekrose) bei anamnestisch bekannter Darmtuberkulose (siehe auch Folgevideo)
Lymphknoten-Vergrößerungen (verkäsende Nekrose) bei anamnestisch bekannter Darmtuberkulose
Lymphknotenmetastasen bei Kardiakarzinom
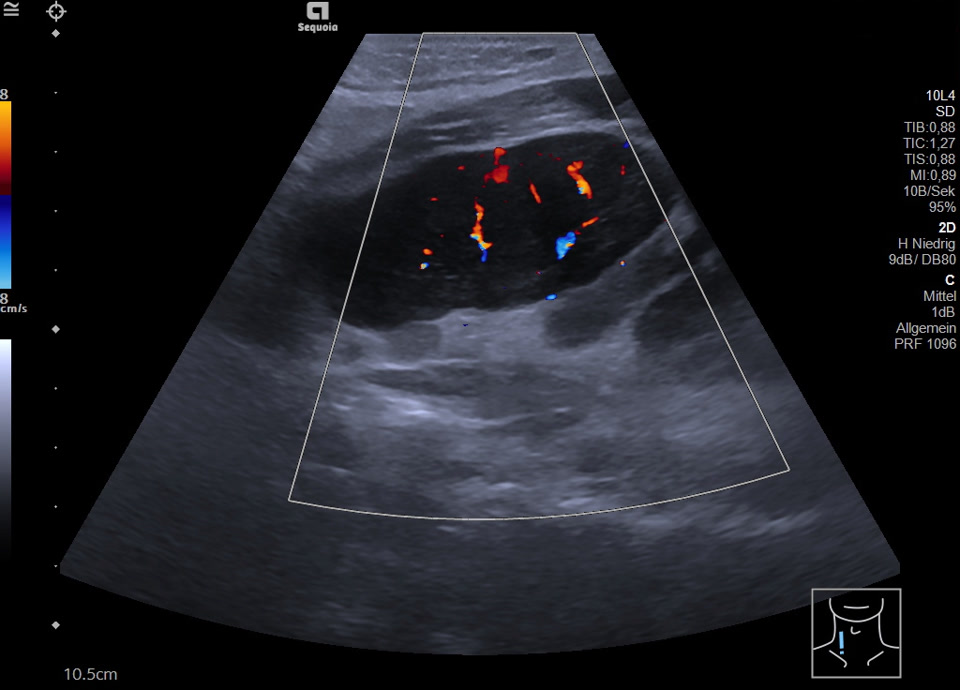
Lymphknoten rechts jugulär bei medullärem Schilddrüsenkarzinom (pT2pN1b)
Ultraschall, Ultraschallatlas, Ultraschallbilder, Ultraschallvideos, Sonographie, Sonographieatlas, Sonographiebilder, Sonographievideos, Kontrastmittelultraschall, Kontrastmittelsonographie, Medizinische Klinik 1, Uniklinik, Universitätsklinikum, Erlangen























