Autoimmunthyreopathien
Kasuistik:
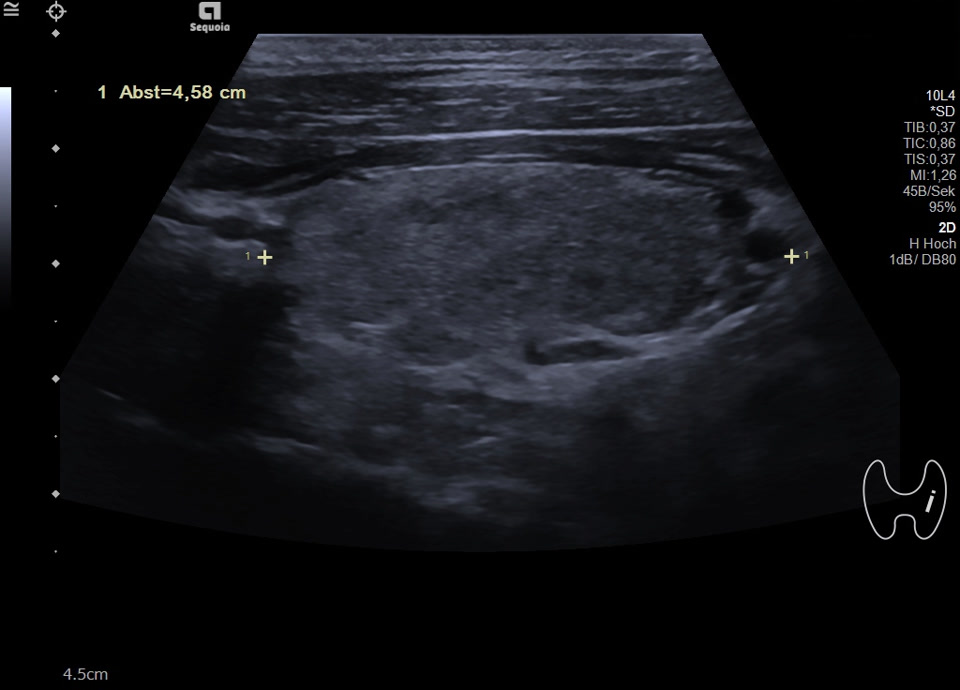
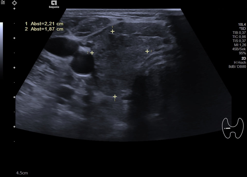
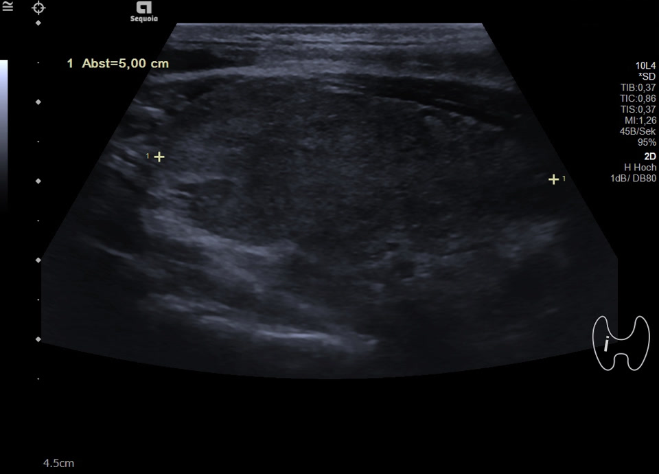
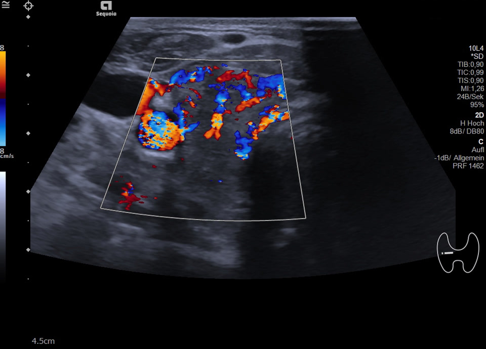
36-jähriger Patient mit Tremor, Tachykardie, Exophthalmus und Gewichtsverlust. Sonographisch stellt sich die Schilddrüse beidseits mit echoarmer inhomogener Parenchymstruktur dar. Gesamtvolumen 20,5 ml. Farbdopplersonographisch hypervaskularisiert. Laborbefunde: basales TSH erniedrigt, T3/fT4 erhöht, TRAK positiv. Befundkonstellation vereinbar mit M. Basedow. Unter Therapie mit Thiamazol und Propranolol beschwerdefrei. Bei Verlaufskontrolle zwei Jahre später sonographisch echoreiches minimal inhomogenes Parenchym bei normalem Volumen (15 ml).




















