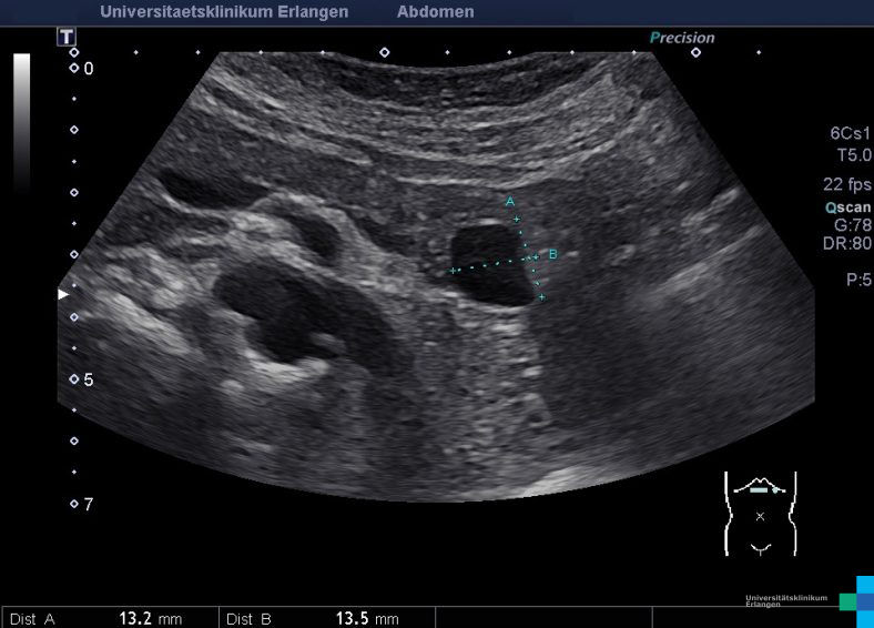
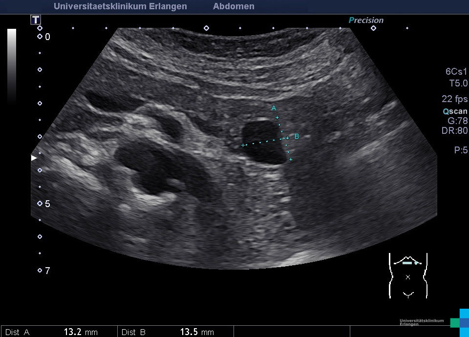
PKS_PKT_ZPT_195.jpg

Schreibe einen Kommentar

Deine E-Mail-Adresse wird nicht veröffentlicht.

*