Cystic tumor
Case
66 year old male patient with scleral icterus. Large benign serous cystadenoma (7×7 cm) in the head of the pancreas causing dilatation of the bile duct and pancreatic duct, so-called double-barrel shotgun sign => indication for surgery. Patient underwent pylorus-preserving pancreaticoduodenectomy.
Case
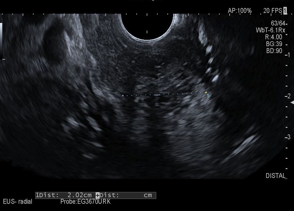
70-year-old female patient reported in 2012 of a pancreatic cyst known for 8 years (2004: 2.3 cm; 2005 and 2012: 2.5 cm). Cystic solid mass in the B-scan with hyperenhancement in CEUS. Endosonography confirms serous cystadenoma (2016: 3cm, characteristic honeycomb structure) => follow-up 2024 (5.5 cm)
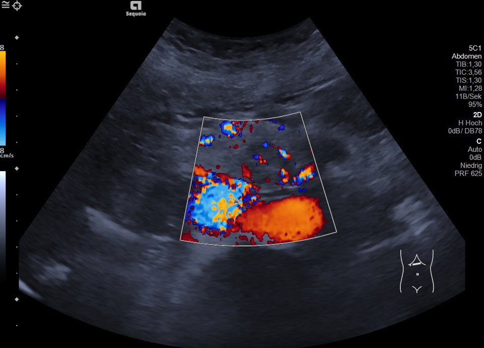
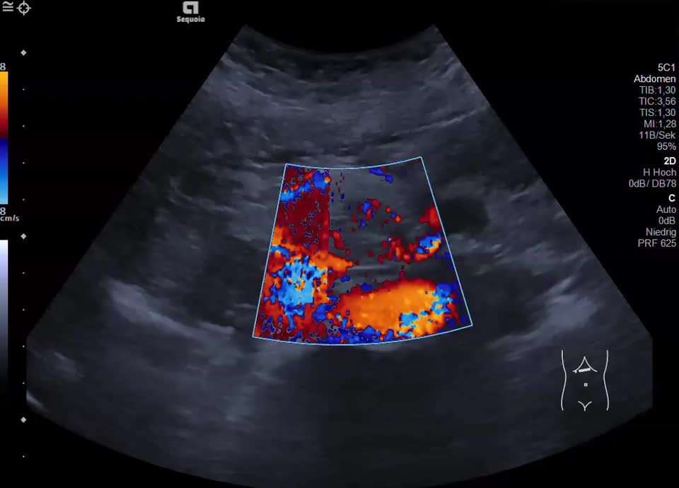
Case
60-year-old female patient with incidental finding of serous cystadenoma one year ago. Current follow-up examination reveals small cystic mass (honeycomb pattern visible on EUS) of constant size in the head of the pancreas/uncinate process. In the transcutaneous B-scan, central echogenic portion (central scar), hypervascularized on color Doppler sonography.

















