Portacaval anastomosis
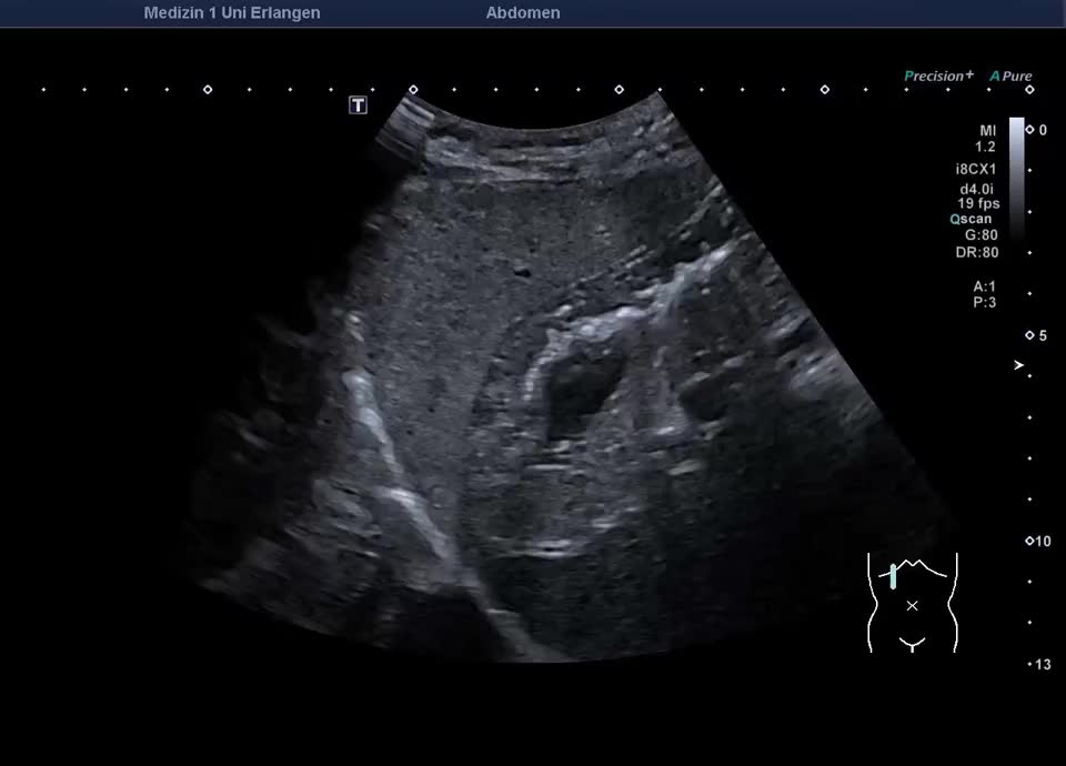
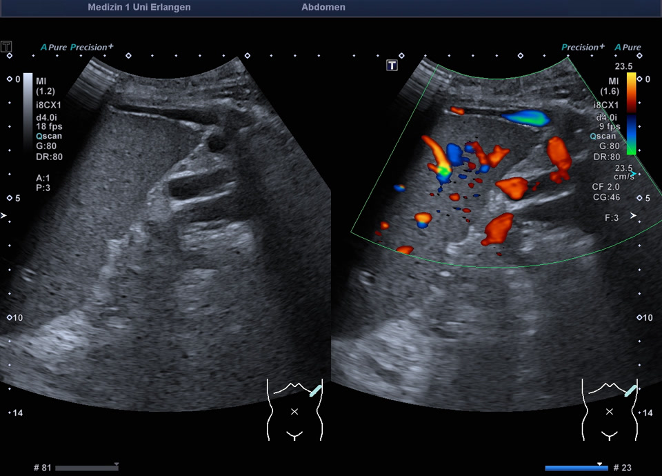
Umgehungskreisläufe im Milzhilus bei portaler Hypertension
Cruveilhier-Baumgarten-Syndrom: rekanalisierte Umbilikalvene bei Leberzirrhose (hochfrequenter Linearschallkopf)
Splenorenale Shunts
Rekanalisierte Umbilikalvene mit Bauchwandkollaterale bis in die V. iliaca externa (hochfrequenter Linearschallkopf)
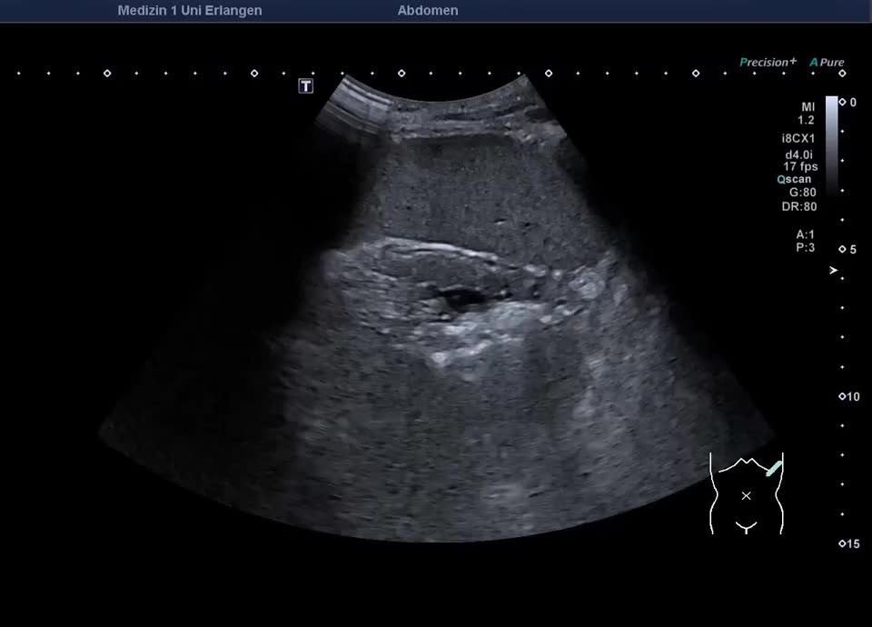
Rekanalisierte Umbilikalvene bei dekompensierter Leberzirrhose mit Aszites, siehe auch Folgevideo
Rekanalisierte Umbilikalvene bei dekompensierter Leberzirrhose mit Aszites (vergleiche auch vorheriges Bild)
Ultraschall, Ultraschallatlas, Ultraschallbilder, Ultraschallvideos, Sonographie, Sonographieatlas, Sonographiebilder, Sonographievideos, Kontrastmittelultraschall, Kontrastmittelsonographie, Medizinische Klinik 1, Uniklinik, Universitätsklinikum, Erlangen






