Gallbladder perforation
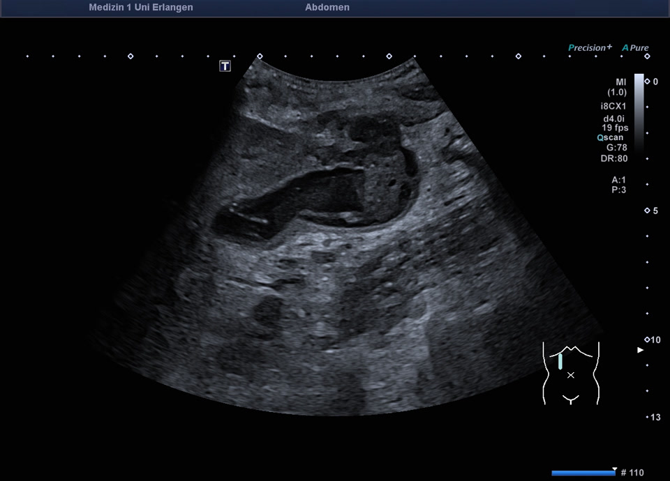
Ultraschall in der Notaufnahme: Gallenblasenempyem mit gedeckter Perforation
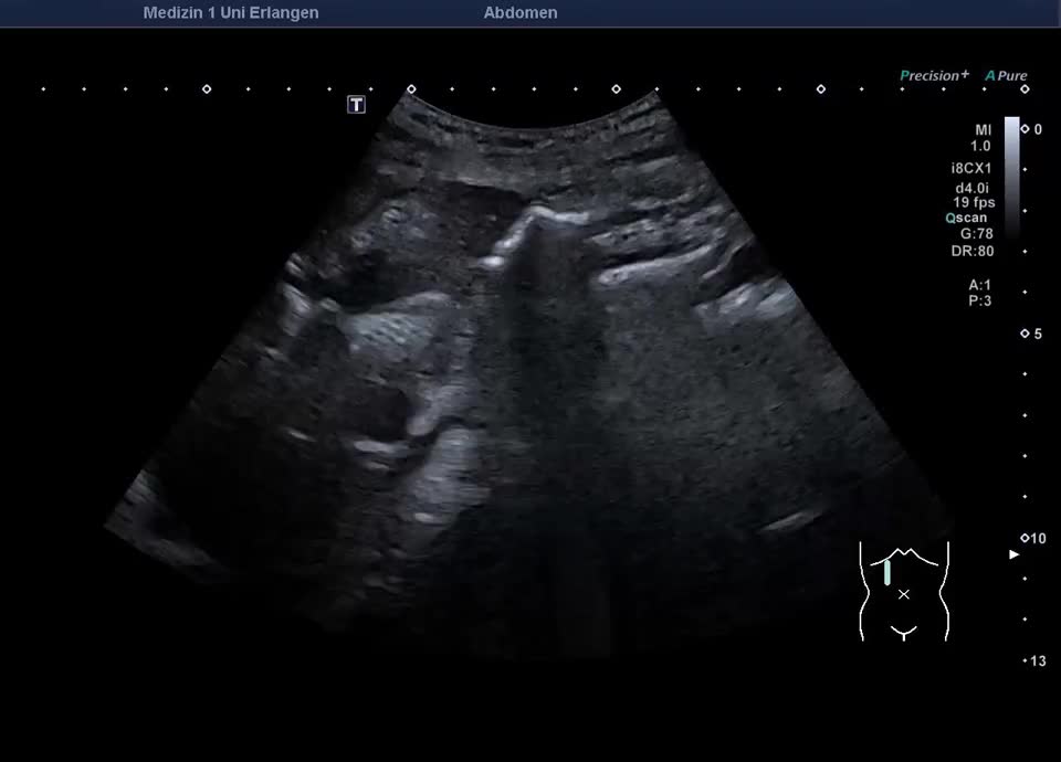
Ultraschall in der Notaufnahme: Gallenblasenempyem mit gedeckter Perforation (hochfrequenter Linearschallkopf)
Perforierte Gallenblase (bei fortgeschrittenem Pankreaskarzinom mit Peritonealkarzinose), siehe auch folgendes Video
Perforierte Gallenblase (bei fortgeschrittenem Pankreaskarzinom mit Peritonealkarzinose)
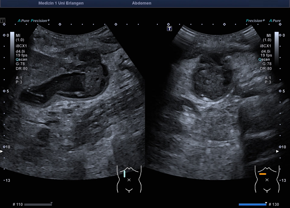
Gedeckt perforiertere Cholezystitis mit konsekutivem Leberabszess und Cholezystolithiasis (Kontrastmittelsonographie im nächsten Bild)
Kontrastmittelsonographie einer gedeckt perforierten Cholezystitis mit konsekutivem Leberabszess (B-Bild im vorherigen Video)
Ultraschall, Ultraschallatlas, Ultraschallbilder, Ultraschallvideos, Sonographie, Sonographieatlas, Sonographiebilder, Sonographievideos, Kontrastmittelultraschall, Kontrastmittelsonographie, Medizinische Klinik 1, Uniklinik, Universitätsklinikum, Erlangen




