• Deutsch
  • English
  • Atlas of Ultrasound, Erlangen - Germany

    uk logo

    Show menu Hide menu

    • Liver
      • Normal liver
      • Fatty liver>
        • General fatty liver
        • Focal fatty infiltration
        • Focal fatty sparing
      • Liver cirrhosis>
        • Cirrhotic changes
        • Ascites
        • Portacaval anastomosis
      • Congestive hepatopathy
      • Benign liver lesions>
        • Simple cyst
        • Atypical cyst
        • Polycystic liver disease
        • Echinococcosis
        • Haemangioma
        • Atypical haemangioma
        • Focal nodular hyperplasia
        • Liver abscess
        • Hepatic hematoma
        • Angiomyolipoma
        • Porphyria
        • Cholangiofibroma
        • Hepatic adenoma
        • Von Meyenburg complexes
      • Malignant liver lesions>
        • Hepatocellular carcinoma
        • Liver metastases
        • Angiosarcoma
      • Liver vessels findings>
        • Liver vessels
          • Right heart failure
        • TIPSS
        • Budd-Chiari syndrome
    • Gallbladder
      • Normal Gallbladder
      • Cholecystitis>
        • Acute cholecystitis
        • Gallbladder perforation
      • Cholecystolithiasis>
        • Gallbladder stones
        • Sludge
        • Completely filled gallbladder
      • Gallbladder polyps
      • Congestive gallbladder
      • Edematous thickened wall
      • Adenomyomatosis
      • Cholesterolosis
      • Porcelain Gallbladder
      • Other findings
    • Bile ducts
      • Normal bile ducts
      • Cholestasis
      • Choledocholithiasis
      • Cholangitis
      • Choledochocele
      • Pneumobilia
      • Caroli disease
      • Biliary stents
      • Biliodigestive anastomosis
      • Endoscopic ultrasound
    • Pancreas
      • Normal pancreas
      • Acute pancreatitis
      • Chronic pancreatitis
      • Pancreatic tumor>
        • Ductal adenocarcinoma
        • Cystic tumor
        • Pancreatic metastasis
      • Other findings
    • Spleen
      • Normal spleen
      • Splenomegaly
      • Accessory spleen
      • Benign splenic lesions>
        • Splenic cyst
        • Starry sky spleen
        • Granuloma
      • Splenic infarction
      • Splenic hemorrhage
      • Malignant splenic lesions
      • Other findings
    • Kidney
      • Normal kidney
      • Acute kidney failure
      • Chronic kidney disease
      • Nephrolithiasis
      • Obstructive uropathy
      • Kidney cysts>
        • Simple kidney cyst
        • Complex kidney cyst
        • Polycystic kidney disease
      • Malignant findings
      • Renal cell carcinoma
      • Angiomyolipoma
      • Pyelonephritis
      • Changes in the adrenal gland
      • Other findings
    • Peritoneum/Abdominal wall
      • Hernias
      • Ascites
      • Peritonitis
      • Peritoneal carcinosis
      • Other findings
    • Gastrointestinal tract
      • Esophagus
      • Stomach>
        • Normal Stomach
        • Gastric retention
        • Tumor of stomach
        • Portal Hypertension
        • Other findings
      • Small Intestine>
        • Normal small intestine
        • Crohn’s Disease
        • Ileus of small intestine
        • Other findings
      • Colon>
        • Normal colon
        • Ulcerative colitis
        • Crohn’s Disease colon
        • Diverticulitis
        • Ischemic colitis
        • Colon tumor
      • Appendicitis
    • Hypogastric region
      • Urinary bladder>
        • Urinary bladder diverticula
        • Bladder tumor
        • Bladder calculus
        • Urothel carcinoma of the urinary bladder
        • Other findings
      • Uterus
      • Prostate>
        • Benign prostatic hypertrophy
      • Ovaries
      • Free fluid
      • Testicles
    • Thorax
      • Normal thorax
      • Pleural effusion
      • Rib fracture
      • Pneumothorax
      • Chest wall metastasis
      • Pneumonia
      • B-Lines
    • Thyroid gland, Neck
      • Normal thyroid gland
      • Thyroid nodule
      • Autoimmune thyroiditis
      • De Quervain’s thyroiditis
      • Thyroid cyst
      • Thyroid carcinoma
      • Parathyroid gland
      • Neck
    • Vessels
      • Arteries>
        • Arteriosclerosis
        • Stenosis
        • Aortic aneurysm
        • Pseudoaneurysm
        • Vasculitis
        • Periaortitis
        • A. subclavia
        • A. poplitea
      • Veins>
        • Normal findings
        • Venous thrombosis in the arm and cervical
        • Venous thrombosis in the leg
        • Venous congestion
        • Caval vein
        • Portal vein
        • Superior mesenteric vein
      • Renal Vessels
      • Lymphatic vessels
    • Lymph nodes
    • Musculoskeletal + soft tissues
      • Upper limb>
        • Finger joints
      • Lower limb>
        • Hip
        • Knee
      • Thorax
      • Soft tissue
    • Heart
    • Ultrasound-guided intervention
      • Thrombin injection into pseudoaneurysm
      • Bleeding after liver puncture
      • Transhepatic lymph node biopsy
      • Axillary lymph node biopsy
      • Puncture of thoracic metastasis
      • Mesenterial biopsy
      • Puncture submandibular gland
      • Puncture peritoneal lesion
      • Puncture of liver lesion
      • Puncture subcutaneous metastasis
      • Ablation area after microwave ablation
      • Abscess drainage liver
      • Puncture of thyroid cyst
      • Leakage PTCD
      • PeritX™ – Placement of a tunnelled ascites drainage device
    • CEUS
      • Liver
        • Focal nodular hyperplasia
        • Incidental finding of benign hepatic lesion
        • Hemangioma
        • Giant hemangioma
        • Cystic liver
        • CEUS case hemangioma
        • High-flow Hemangioma
        • Hemangioma and lymphoma
        • Benign liver cyst
        • Complex liver cyst
        • Liver abscess
        • Hepatic inflammatory pseudotumor
        • Inflammatory adenoma
        • Hepatic Adenoma (HNF1 alpha inactivated)
        • Focal fatty sparing
        • Hepatomegaly fatty liver with extensive zonal fatty sparing
        • Hepatic metastasis
        • Hepatic metastasis with necrotic core
        • Small HCC
        • HCC without liver cirrhosis
        • Diffuse growing HCC infiltrating the portal vein
        • HCC with infiltration into inferior vena cava (IVC)
        • Small HCC + follow-up after microwave ablation
        • Cholangiocarcinoma
        • Hepatic metastases Leiomyosarcoma
        • Porphyria cutanea tarda (Liver)
        • Porphyria cutanea tarda 2 (Liver)
        • E. multilocularis
        • Cystic echinococcosis (WHO CE 4 Stadium)
        • Portalvenous shunt
        • Liver hematoma (HELLP-syndrome)
        • Von Meyenburg complexes
        • Cystic-solid liver metastasis in ovarian cancer
      • Kidney
        • Renal hematoma subcapsular
        • Renal cyst
        • Renal pseudotumor
        • Oncocytic renal tumor
        • Complicated renal cyst
        • Renal carcinoma after radiofrequency ablation
        • Angiomyolipoma
      • Pancreas
        • Pancreatic tail carcinoma
        • Pancreatic NET (G1)
        • Long terme course of a pancreatic lesion
        • Adenocarcinoma pancreatic corpus
        • Symptomatic pseudocyst
      • Spleen
        • Abscess of the spleen
        • Subcapsular splenic hematoma
        • Posttraumatic splenic cyst
        • Splenic infarction
        • Splenic necrosis
      • Other
        • Urothel carcinoma of the urinary bladder
        • Unclear mass in the urinary bladder
        • Follicular lymphoma
        • Gallbladder perforation
    • Image artifacts
    • FAST
      • Pericardium
      • Douglas pouch
      • Free fluid
      • Free air
    • Other findings
    • Retroperitoneum
    • Liver
      • Normal liver
      • Fatty liver>
        • General fatty liver
        • Focal fatty infiltration
        • Focal fatty sparing
      • Liver cirrhosis>
        • Cirrhotic changes
        • Ascites
        • Portacaval anastomosis
      • Congestive hepatopathy
      • Benign liver lesions>
        • Simple cyst
        • Atypical cyst
        • Polycystic liver disease
        • Echinococcosis
        • Haemangioma
        • Atypical haemangioma
        • Focal nodular hyperplasia
        • Liver abscess
        • Hepatic hematoma
        • Angiomyolipoma
        • Porphyria
        • Cholangiofibroma
        • Hepatic adenoma
        • Von Meyenburg complexes
      • Malignant liver lesions>
        • Hepatocellular carcinoma
        • Liver metastases
        • Angiosarcoma
      • Liver vessels findings>
        • Liver vessels
          • Right heart failure
        • TIPSS
        • Budd-Chiari syndrome
    • Gallbladder
      • Normal Gallbladder
      • Cholecystitis>
        • Acute cholecystitis
        • Gallbladder perforation
      • Cholecystolithiasis>
        • Gallbladder stones
        • Sludge
        • Completely filled gallbladder
      • Gallbladder polyps
      • Congestive gallbladder
      • Edematous thickened wall
      • Adenomyomatosis
      • Cholesterolosis
      • Porcelain Gallbladder
      • Other findings
    • Bile ducts
      • Normal bile ducts
      • Cholestasis
      • Choledocholithiasis
      • Cholangitis
      • Choledochocele
      • Pneumobilia
      • Caroli disease
      • Biliary stents
      • Biliodigestive anastomosis
      • Endoscopic ultrasound
    • Pancreas
      • Normal pancreas
      • Acute pancreatitis
      • Chronic pancreatitis
      • Pancreatic tumor>
        • Ductal adenocarcinoma
        • Cystic tumor
        • Pancreatic metastasis
      • Other findings
    • Spleen
      • Normal spleen
      • Splenomegaly
      • Accessory spleen
      • Benign splenic lesions>
        • Splenic cyst
        • Starry sky spleen
        • Granuloma
      • Splenic infarction
      • Splenic hemorrhage
      • Malignant splenic lesions
      • Other findings
    • Kidney
      • Normal kidney
      • Acute kidney failure
      • Chronic kidney disease
      • Nephrolithiasis
      • Obstructive uropathy
      • Kidney cysts>
        • Simple kidney cyst
        • Complex kidney cyst
        • Polycystic kidney disease
      • Malignant findings
      • Renal cell carcinoma
      • Angiomyolipoma
      • Pyelonephritis
      • Changes in the adrenal gland
      • Other findings
    • Peritoneum/Abdominal wall
      • Hernias
      • Ascites
      • Peritonitis
      • Peritoneal carcinosis
      • Other findings
    • Gastrointestinal tract
      • Esophagus
      • Stomach>
        • Normal Stomach
        • Gastric retention
        • Tumor of stomach
        • Portal Hypertension
        • Other findings
      • Small Intestine>
        • Normal small intestine
        • Crohn’s Disease
        • Ileus of small intestine
        • Other findings
      • Colon>
        • Normal colon
        • Ulcerative colitis
        • Crohn’s Disease colon
        • Diverticulitis
        • Ischemic colitis
        • Colon tumor
      • Appendicitis
    • Hypogastric region
      • Urinary bladder>
        • Urinary bladder diverticula
        • Bladder tumor
        • Bladder calculus
        • Urothel carcinoma of the urinary bladder
        • Other findings
      • Uterus
      • Prostate>
        • Benign prostatic hypertrophy
      • Ovaries
      • Free fluid
      • Testicles
    • Thorax
      • Normal thorax
      • Pleural effusion
      • Rib fracture
      • Pneumothorax
      • Chest wall metastasis
      • Pneumonia
      • B-Lines
    • Thyroid gland, Neck
      • Normal thyroid gland
      • Thyroid nodule
      • Autoimmune thyroiditis
      • De Quervain’s thyroiditis
      • Thyroid cyst
      • Thyroid carcinoma
      • Parathyroid gland
      • Neck
    • Vessels
      • Arteries>
        • Arteriosclerosis
        • Stenosis
        • Aortic aneurysm
        • Pseudoaneurysm
        • Vasculitis
        • Periaortitis
        • A. subclavia
        • A. poplitea
      • Veins>
        • Normal findings
        • Venous thrombosis in the arm and cervical
        • Venous thrombosis in the leg
        • Venous congestion
        • Caval vein
        • Portal vein
        • Superior mesenteric vein
      • Renal Vessels
      • Lymphatic vessels
    • Lymph nodes
    • Musculoskeletal + soft tissues
      • Upper limb>
        • Finger joints
      • Lower limb>
        • Hip
        • Knee
      • Thorax
      • Soft tissue
    • Heart
    • Ultrasound-guided intervention
      • Thrombin injection into pseudoaneurysm
      • Bleeding after liver puncture
      • Transhepatic lymph node biopsy
      • Axillary lymph node biopsy
      • Puncture of thoracic metastasis
      • Mesenterial biopsy
      • Puncture submandibular gland
      • Puncture peritoneal lesion
      • Puncture of liver lesion
      • Puncture subcutaneous metastasis
      • Ablation area after microwave ablation
      • Abscess drainage liver
      • Puncture of thyroid cyst
      • Leakage PTCD
      • PeritX™ – Placement of a tunnelled ascites drainage device
    • CEUS
      • Liver
        • Focal nodular hyperplasia
        • Incidental finding of benign hepatic lesion
        • Hemangioma
        • Giant hemangioma
        • Cystic liver
        • CEUS case hemangioma
        • High-flow Hemangioma
        • Hemangioma and lymphoma
        • Benign liver cyst
        • Complex liver cyst
        • Liver abscess
        • Hepatic inflammatory pseudotumor
        • Inflammatory adenoma
        • Hepatic Adenoma (HNF1 alpha inactivated)
        • Focal fatty sparing
        • Hepatomegaly fatty liver with extensive zonal fatty sparing
        • Hepatic metastasis
        • Hepatic metastasis with necrotic core
        • Small HCC
        • HCC without liver cirrhosis
        • Diffuse growing HCC infiltrating the portal vein
        • HCC with infiltration into inferior vena cava (IVC)
        • Small HCC + follow-up after microwave ablation
        • Cholangiocarcinoma
        • Hepatic metastases Leiomyosarcoma
        • Porphyria cutanea tarda (Liver)
        • Porphyria cutanea tarda 2 (Liver)
        • E. multilocularis
        • Cystic echinococcosis (WHO CE 4 Stadium)
        • Portalvenous shunt
        • Liver hematoma (HELLP-syndrome)
        • Von Meyenburg complexes
        • Cystic-solid liver metastasis in ovarian cancer
      • Kidney
        • Renal hematoma subcapsular
        • Renal cyst
        • Renal pseudotumor
        • Oncocytic renal tumor
        • Complicated renal cyst
        • Renal carcinoma after radiofrequency ablation
        • Angiomyolipoma
      • Pancreas
        • Pancreatic tail carcinoma
        • Pancreatic NET (G1)
        • Long terme course of a pancreatic lesion
        • Adenocarcinoma pancreatic corpus
        • Symptomatic pseudocyst
      • Spleen
        • Abscess of the spleen
        • Subcapsular splenic hematoma
        • Posttraumatic splenic cyst
        • Splenic infarction
        • Splenic necrosis
      • Other
        • Urothel carcinoma of the urinary bladder
        • Unclear mass in the urinary bladder
        • Follicular lymphoma
        • Gallbladder perforation
    • Image artifacts
    • FAST
      • Pericardium
      • Douglas pouch
      • Free fluid
      • Free air
    • Other findings
    • Retroperitoneum

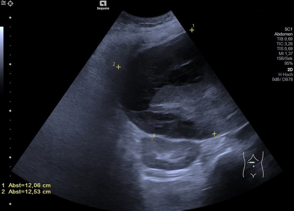
    Hepatic hematoma

    • Intrahepatic hematoma and ascites (video)
    • Subcapsular liver hematoma
    • Subcapsular liver hematoma (video)
    c

    Intrahepatisches Hämatom und hämorrhagischer Aszites bei Zustand nach Punktion

    Ultraschall, Ultraschallatlas, Ultraschallbilder, Ultraschallvideos, Sonographie, Sonographieatlas, Sonographiebilder, Sonographievideos, Kontrastmittelultraschall, Kontrastmittelsonographie, Medizinische Klinik 1, Uniklinik, Universitätsklinikum, Erlangen

    ©2026 Atlas of Ultrasound Erlangen

    Impressum

    Cookie-Richtlinien-EU

    Up ↑

    Cookie-Zustimmung verwalten
    We use cookies to improve our website and serivce.
    Funktional Always active
    Die technische Speicherung oder der Zugang ist unbedingt erforderlich für den rechtmäßigen Zweck, die Nutzung eines bestimmten Dienstes zu ermöglichen, der vom Teilnehmer oder Nutzer ausdrücklich gewünscht wird, oder für den alleinigen Zweck, die Übertragung einer Nachricht über ein elektronisches Kommunikationsnetz durchzuführen.
    Prefrences
    Die technische Speicherung oder der Zugriff ist für den rechtmäßigen Zweck der Speicherung von Präferenzen erforderlich, die nicht vom Abonnenten oder Benutzer angefordert wurden.
    Statistics
    Die technische Speicherung oder der Zugriff, der ausschließlich zu statistischen Zwecken erfolgt. Die technische Speicherung oder der Zugriff, der ausschließlich zu anonymen statistischen Zwecken verwendet wird. Ohne eine Vorladung, die freiwillige Zustimmung deines Internetdienstanbieters oder zusätzliche Aufzeichnungen von Dritten können die zu diesem Zweck gespeicherten oder abgerufenen Informationen allein in der Regel nicht dazu verwendet werden, dich zu identifizieren.
    Marketing
    Die technische Speicherung oder der Zugriff ist erforderlich, um Nutzerprofile zu erstellen, um Werbung zu versenden oder um den Nutzer auf einer Website oder über mehrere Websites hinweg zu ähnlichen Marketingzwecken zu verfolgen.
    Manage options Manage services Manage {vendor_count} vendors Read more about these purposes
    Show Preferences
    {title} {title} {title}