Changes in the adrenal gland
Case report:
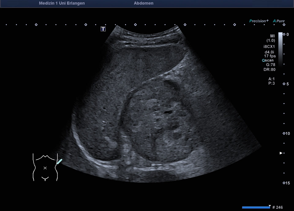
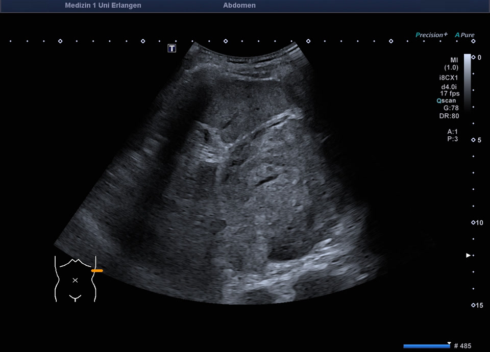
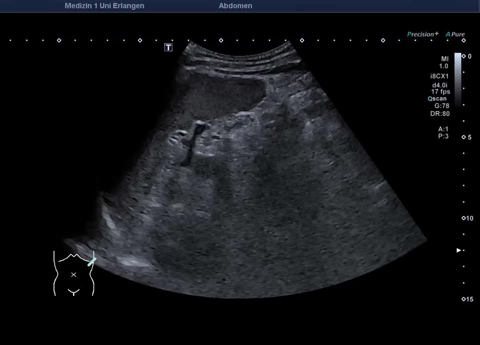
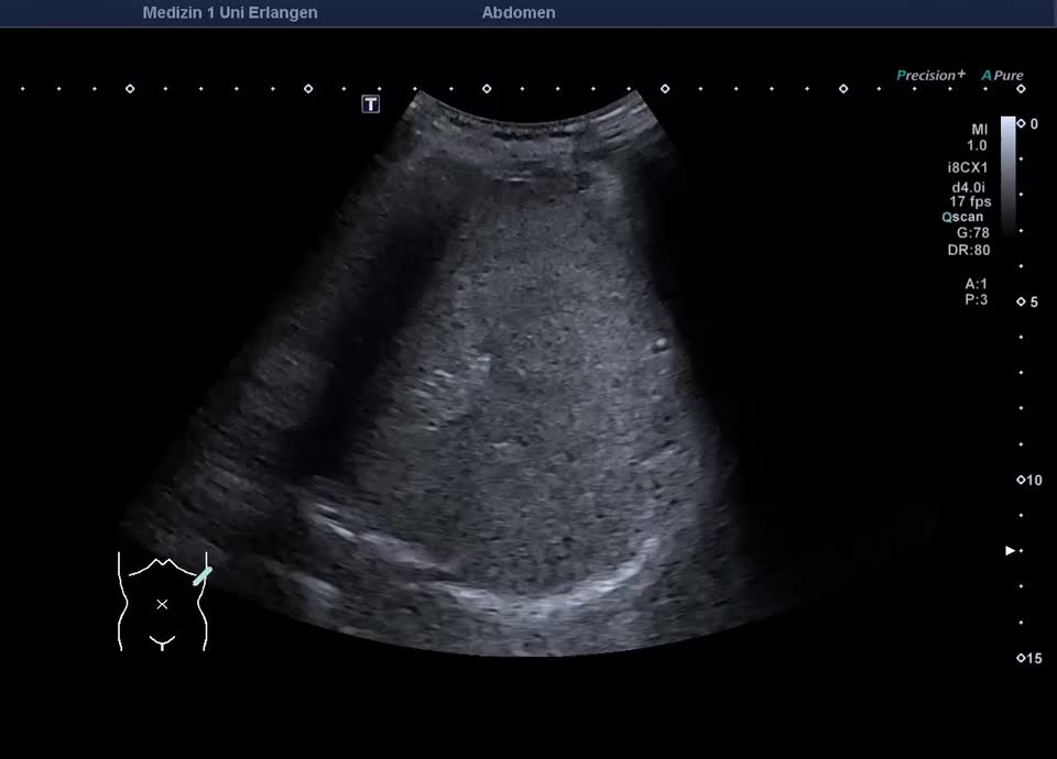
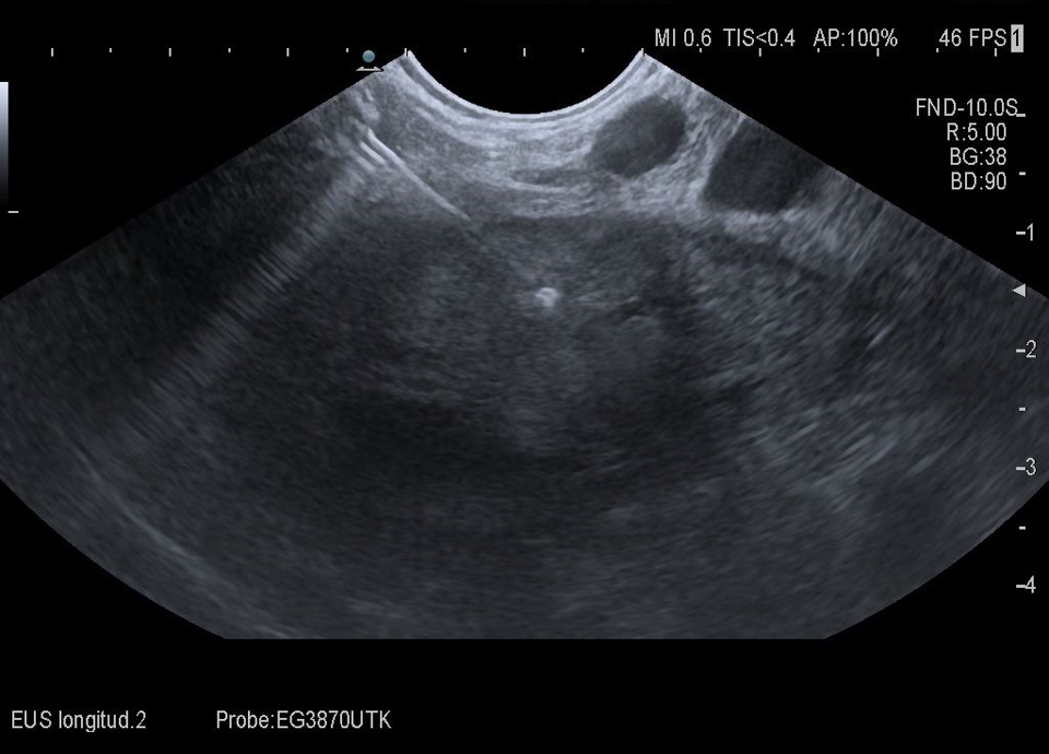
47-year-old patient presents to the emergency department with flank pain. Ultrasound shows a large, inhomogeneous, sharply defined mass in the left adrenal gland. A blood sample (including metanephrines) and a puncture (endosonographic access) are initiated for further clarification. Histologically adrenal cancer










