De Quervain’s thyroiditis
Case report:
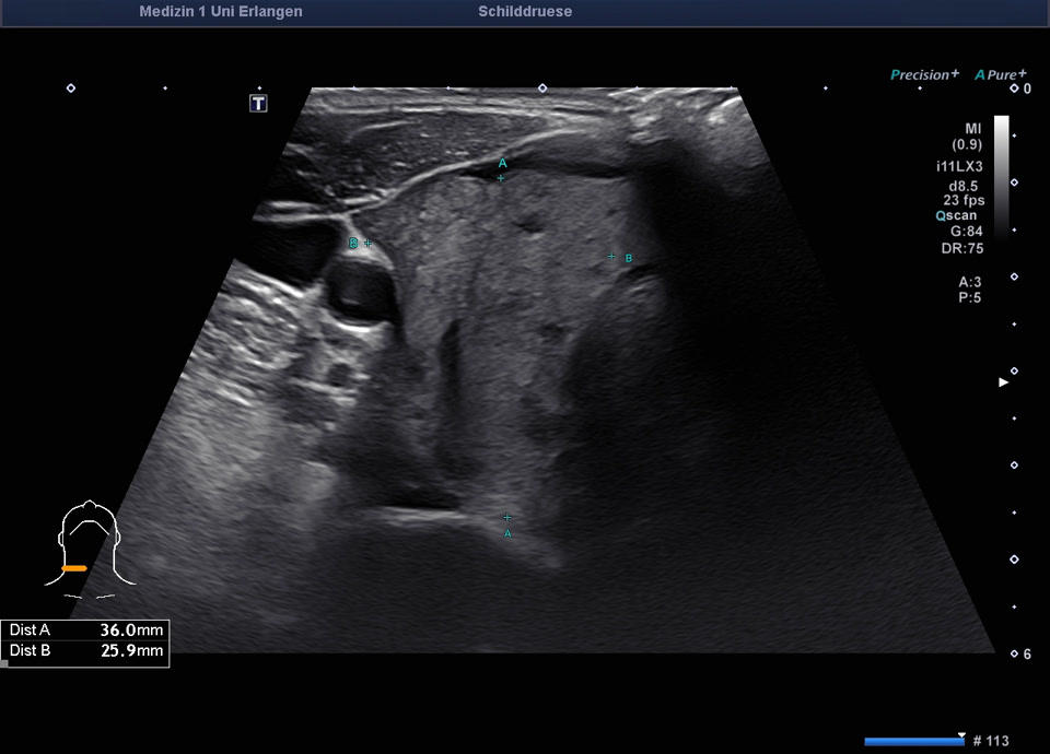
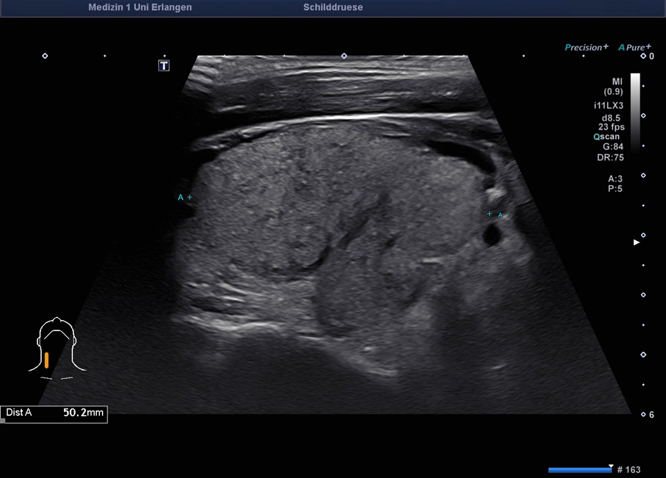
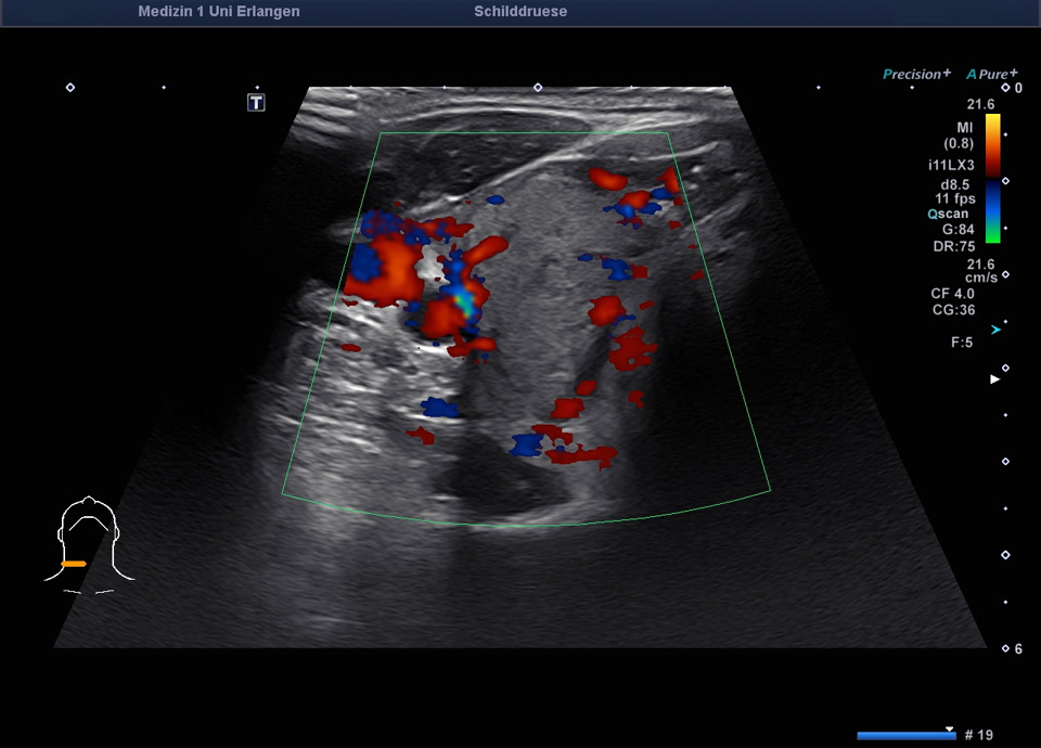
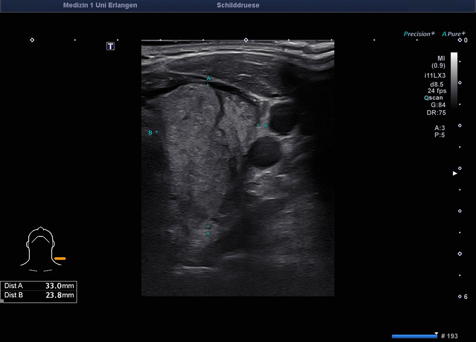
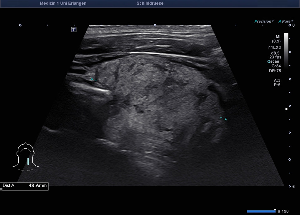
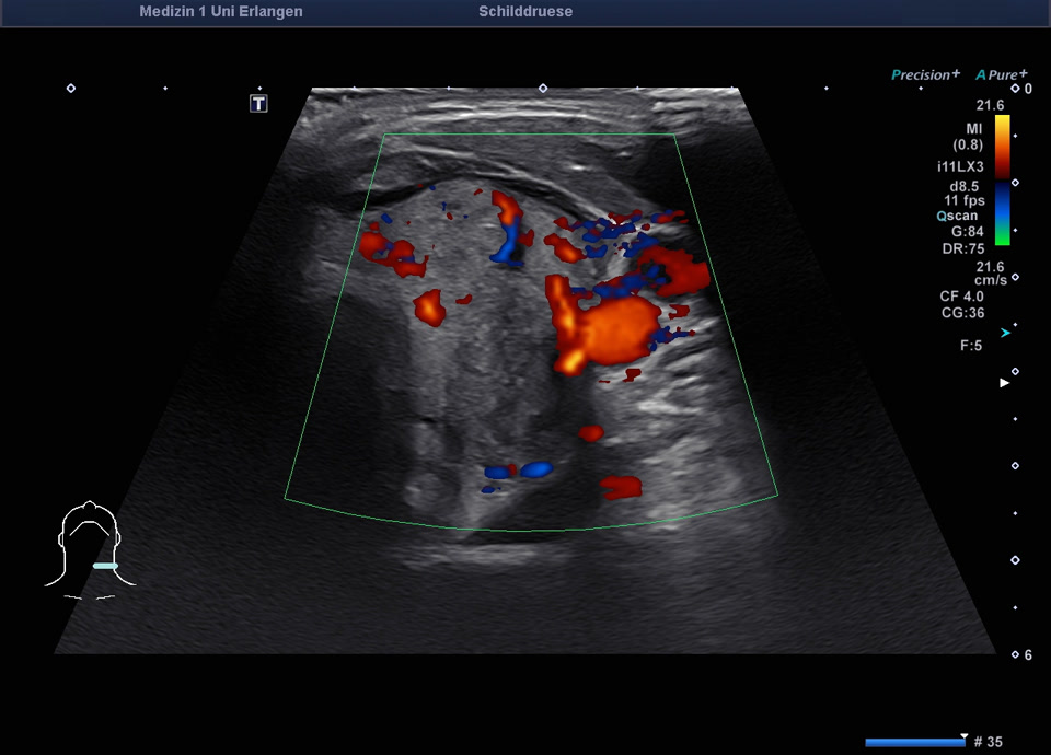
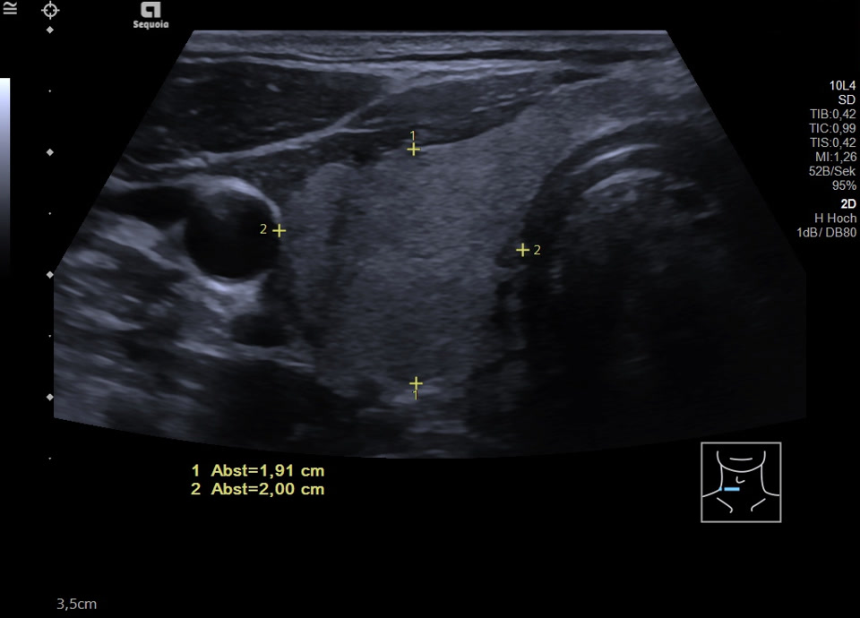
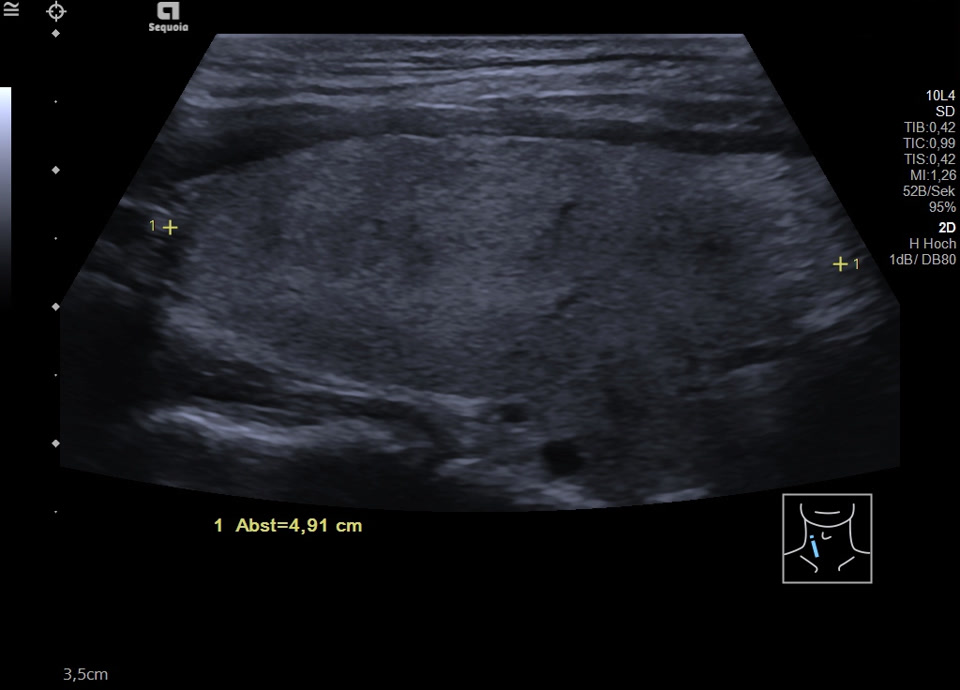
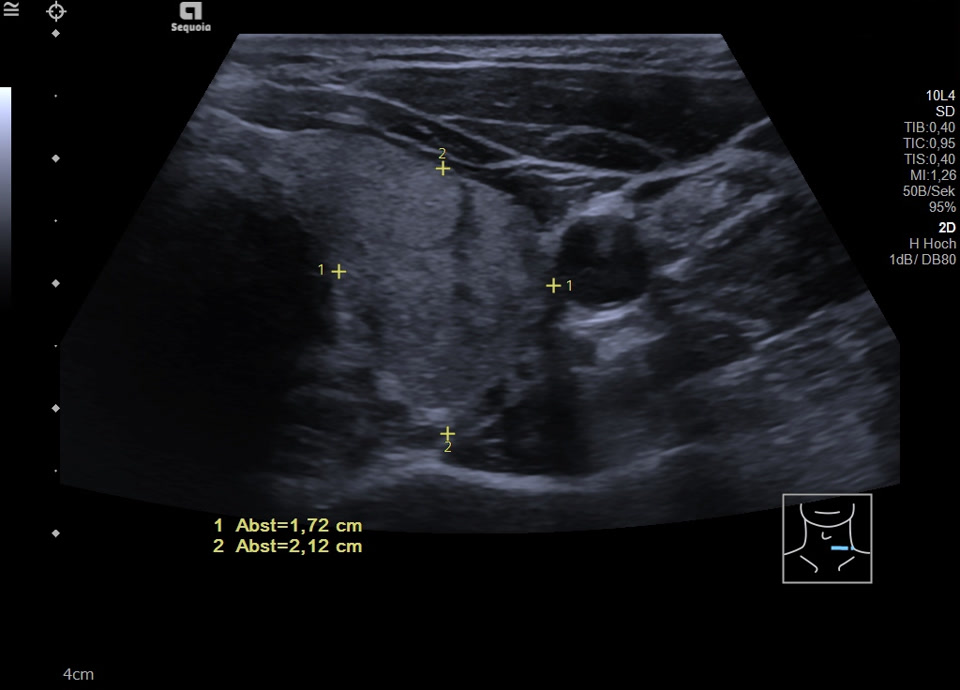
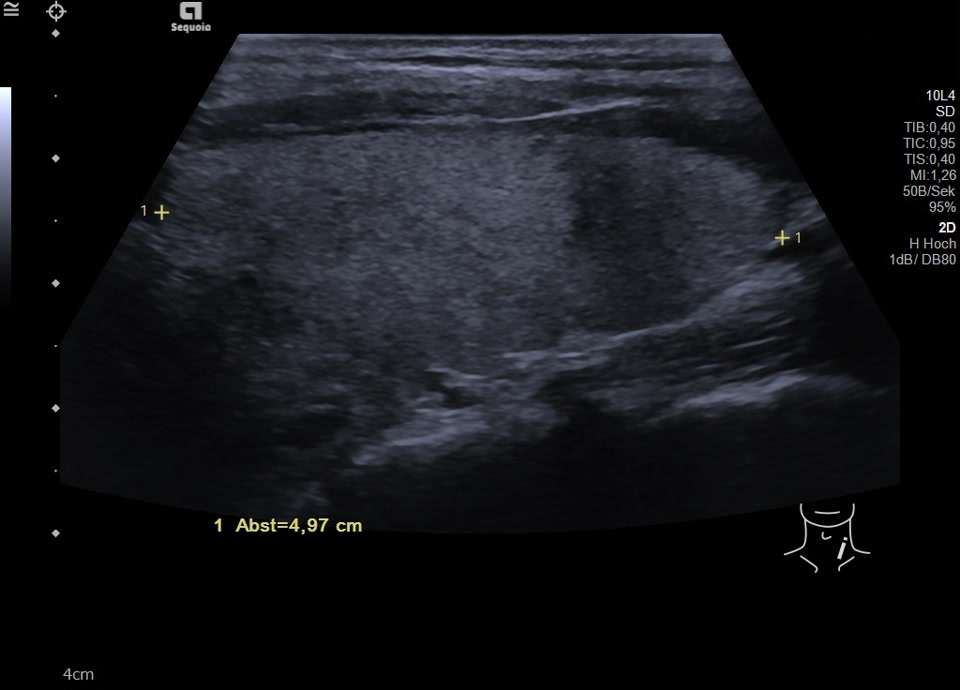
45-year-old male presented patient with persistent sore throat and general symptoms following an EBV-infection. An external diagnosis of post-infectious de Quervain’s thyroiditis had already been made, and a two-week course of corticosteroid therapy was administered. Initial clinical improvement with reduced throat pain was noted under treatment, but symptoms reoccurred after discontinuation of corticosteroids. Laboratory findings revealed leukocytosis of 12,000/µl and CRP of 113 mg/l. Sonographically, a bilaterally enlarged thyroid gland with diffusely hypoechoic areas and inhomogeneous parenchyma was observed. Combined with the patient history, this was characteristic of a subacute thyroiditis with relapse after short-term corticosteroid therapy. Prolonged corticosteroid therapy with slow tapering was performed. Under this regimen, marked clinical improvement occurred within weeks; follow-up ultrasound four months later showed a normal-sized thyroid with only mildly inhomogeneous parenchyma, consistent with resolving thyroiditis.



















