Focal fatty infiltration
c
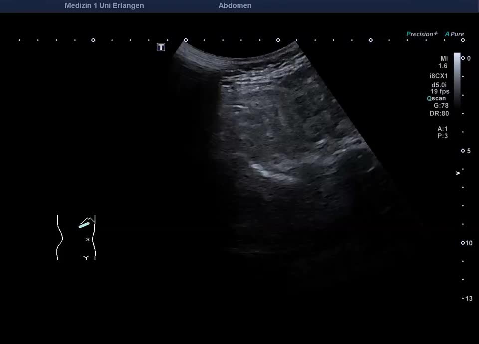
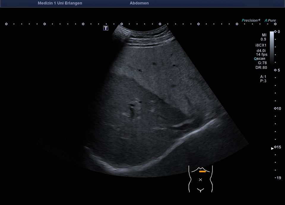
Lobuläre Mehrverfettung des rechten Leberlappens
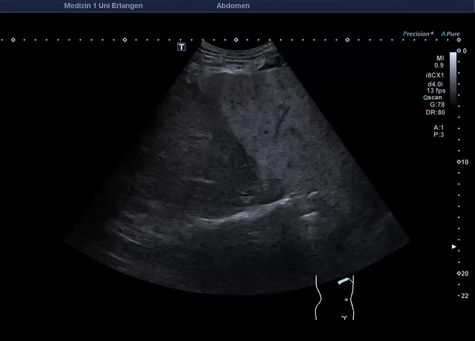
Fokale Mehrverfettung
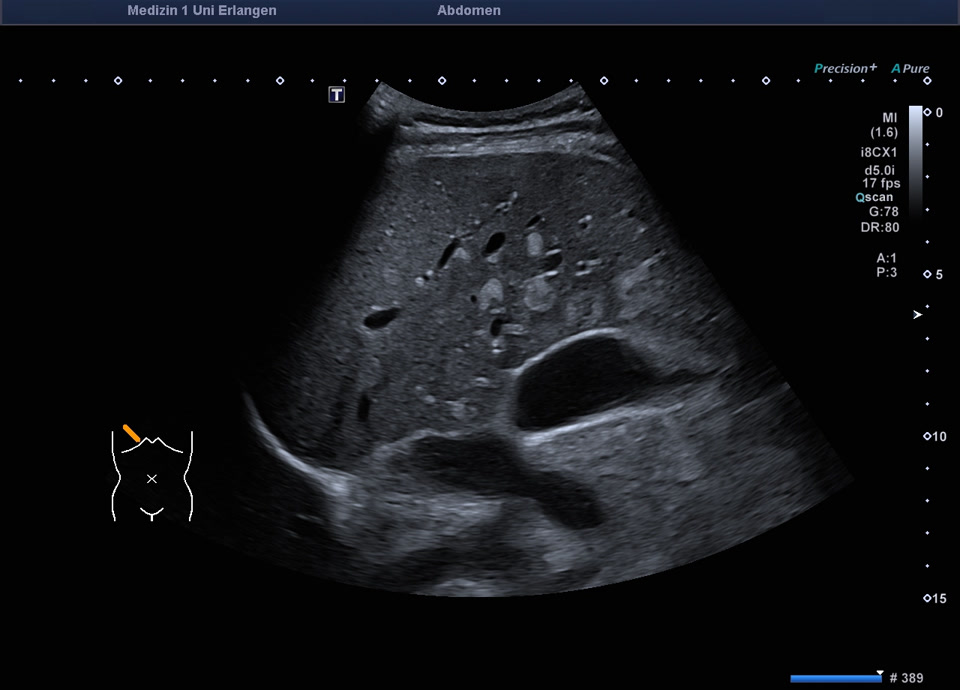
Lobuläre Mehrverfettung des rechten Leberlappens (siehe auch nächstes Bild)
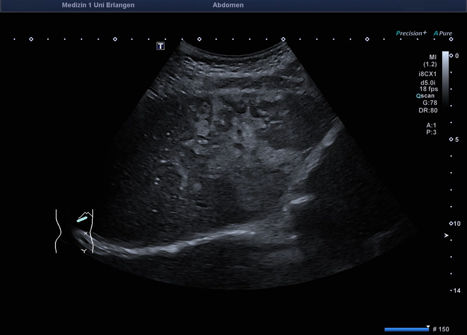
Lobuläre Mehrverfettung des rechten Leberlappens
Ultraschall, Ultraschallatlas, Ultraschallbilder, Ultraschallvideos, Sonographie, Sonographieatlas, Sonographiebilder, Sonographievideos, Kontrastmittelultraschall, Kontrastmittelsonographie, Medizinische Klinik 1, Uniklinik, Universitätsklinikum, Erlangen









